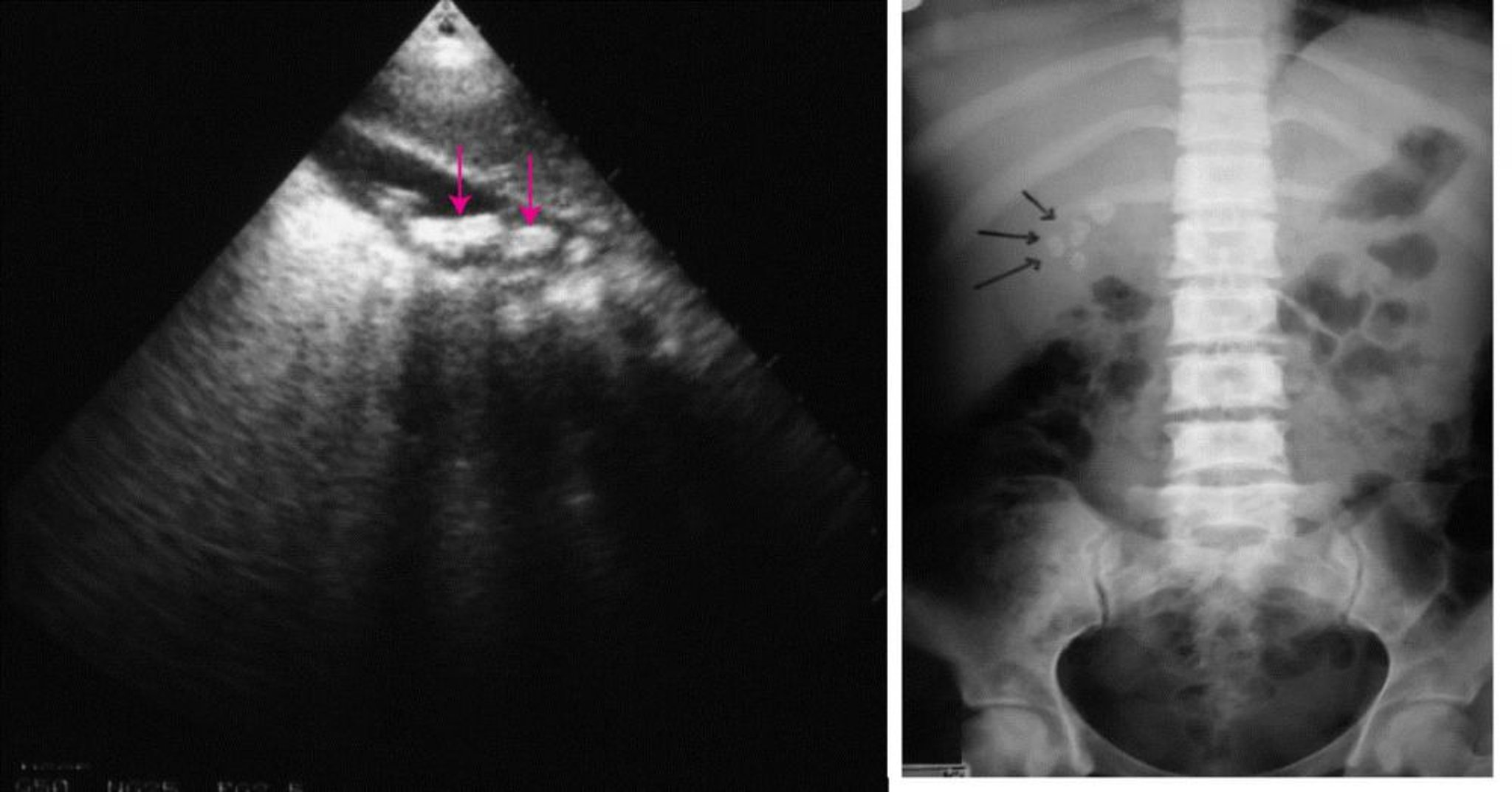
Imagerie abdominale (calculs biliaires)
À gauche, une échographie abdominale montrant plusieurs calculs biliaires (flèches). À droite, une radiographie abdominale sans préparation montrant des calculs biliaires radio-opaques (flèches).
© Springer Science+Business Media
