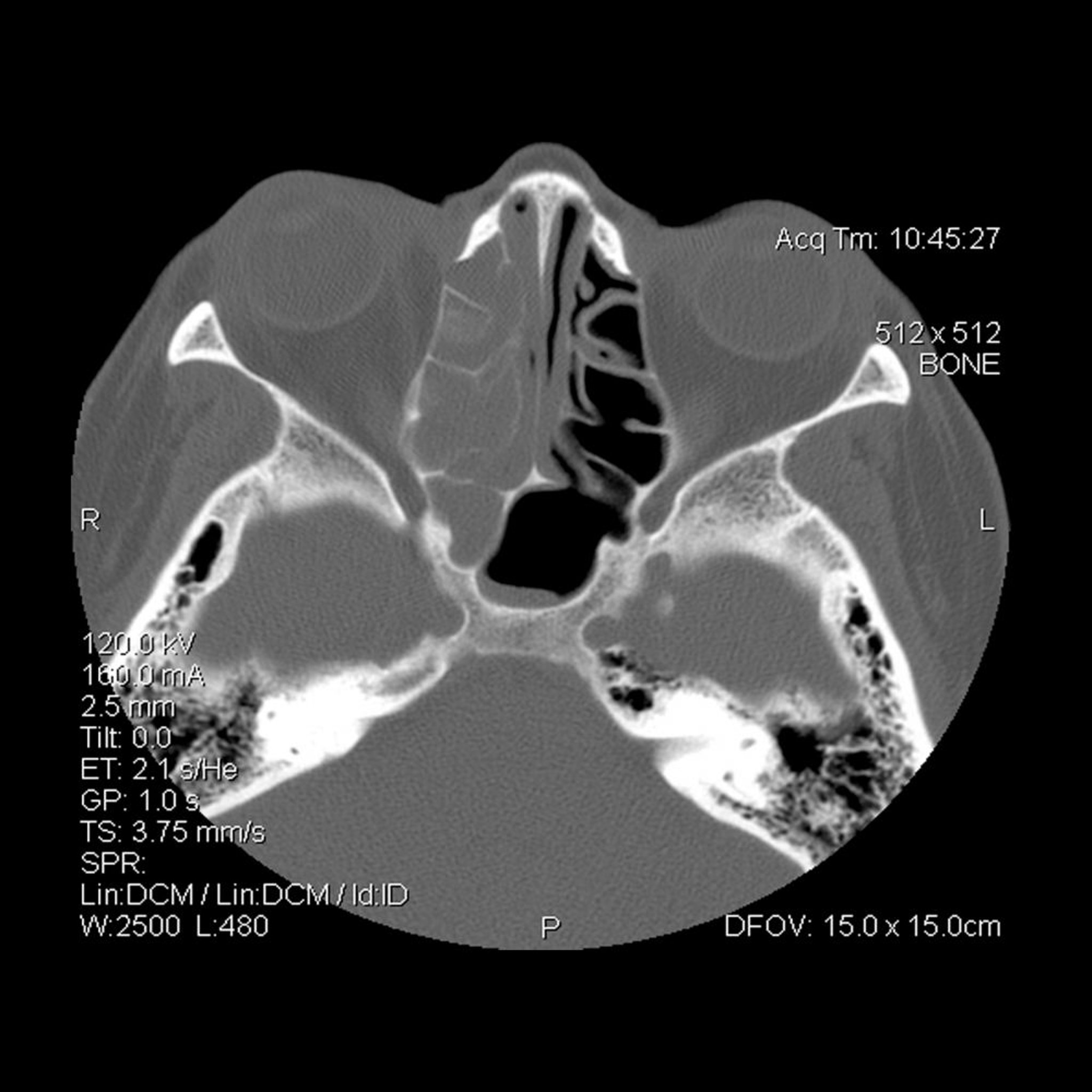
Sinusite
Opacification des sinus ethmoïdaux et sphénoïdaux droits (à gauche de l'observateur).
LIVING ART ENTERPRISES, LLC/SCIENCE PHOTO LIBRARY
Dans ces sujets
Opacification des sinus ethmoïdaux et sphénoïdaux droits (à gauche de l'observateur).
LIVING ART ENTERPRISES, LLC/SCIENCE PHOTO LIBRARY