Les syndromes de fuite d'air correspondent à la fuite d'air en dehors des espaces aériens pulmonaires normaux. Les syndromes incluent le pneumothorax, le pneumomédiastin, l'emphysème pulmonaire interstitiel, le pneumopéricarde et le pneumopéritoine.
(Voir aussi Revue générale des troubles respiratoires périnataux.)
Les syndromes de fuites d'air comprennent:
Pneumopéritoine ou emphysème sous-cutané (rare)
Un pneumothorax asymptomatique peut être présent chez jusqu'à 10% des nouveau-nés à terme et prématurés tardifs (1), probablement en raison des importantes forces intrathoraciques négatives, créées lorsque les nouveau-nés commencent à respirer, ce qui entraîne parfois une rupture de l'épithélium alvéolaire, qui permet à l'air de passer des alvéoles aux tissus mous ou aux espaces extra-alvéolaires. Le pneumothorax cliniquement significatif est cependant beaucoup plus rare, survenant chez environ 0,02% des nourrissons à terme (2).
La fuite d'air est plus fréquente et grave chez les nouveau-nés avec maladie pulmonaire et chez les prématurés extrêmes. Ces nourrissons sont à risque du fait de leur faible compliance pulmonaire et du besoin de maintenir de fortes pressions au niveau des voies respiratoires en cas de support ventilatoire (p. ex., dans le syndrome de détresse respiratoire) ou du fait d'un piégeage gazeux (p. ex., syndrome d'inhalation méconiale), qui induit une distension alvéolaire. Dans une étude portant sur des grands prématurés nés avant 28 semaines d'âge gestationnel, 9,4% présentaient un syndrome de fuite d'air grave; le taux de mortalité de ce groupe était de 55%, tandis que celui du groupe témoin était de 35% (3).
Le diagnostic des syndromes de fuite d'air est évoqué sur la clinique ou du fait de la détérioration des besoins en oxygène. Il est confirmé par la radiographie de thorax.
Le traitement des syndromes de fuite d'air varie selon le type de fuite d'air mais, chez le nourrisson ventilé, il implique toujours une réduction des pressions inspiratoires jusqu'au minimum toléré. Les ventilateurs haute fréquence peuvent être utiles mais ne sont pas prouvés bénéfiques pour tous les types de syndromes de fuite d'air.
Références générales
1. Montero Gato J, Sacristán PA, Vázquez NL, Martín MLH, Amorós AG, Fernández LR. Incidence of ultrasonographic signs of pneumothorax in asymptomatic neonates. Pediatr Pulmonol. 2023;58(6):1691-1696. doi:10.1002/ppul.26378
2. Acun C, Nusairat L, Kadri A, et al. Pneumothorax prevalence and mortality per gestational age in the newborn. Pediatr Pulmonol. 2021;56(8):2583-2588. doi:10.1002/ppul.25454
3. Oh SH, Jin HS, Park CH. Risk factors and neonatal outcomes of pulmonary air leak syndrome in extremely preterm infants: A nationwide descriptive cohort study. Medicine (Baltimore). 2023;102(34):e34759. doi:10.1097/MD.0000000000034759
Pneumothorax
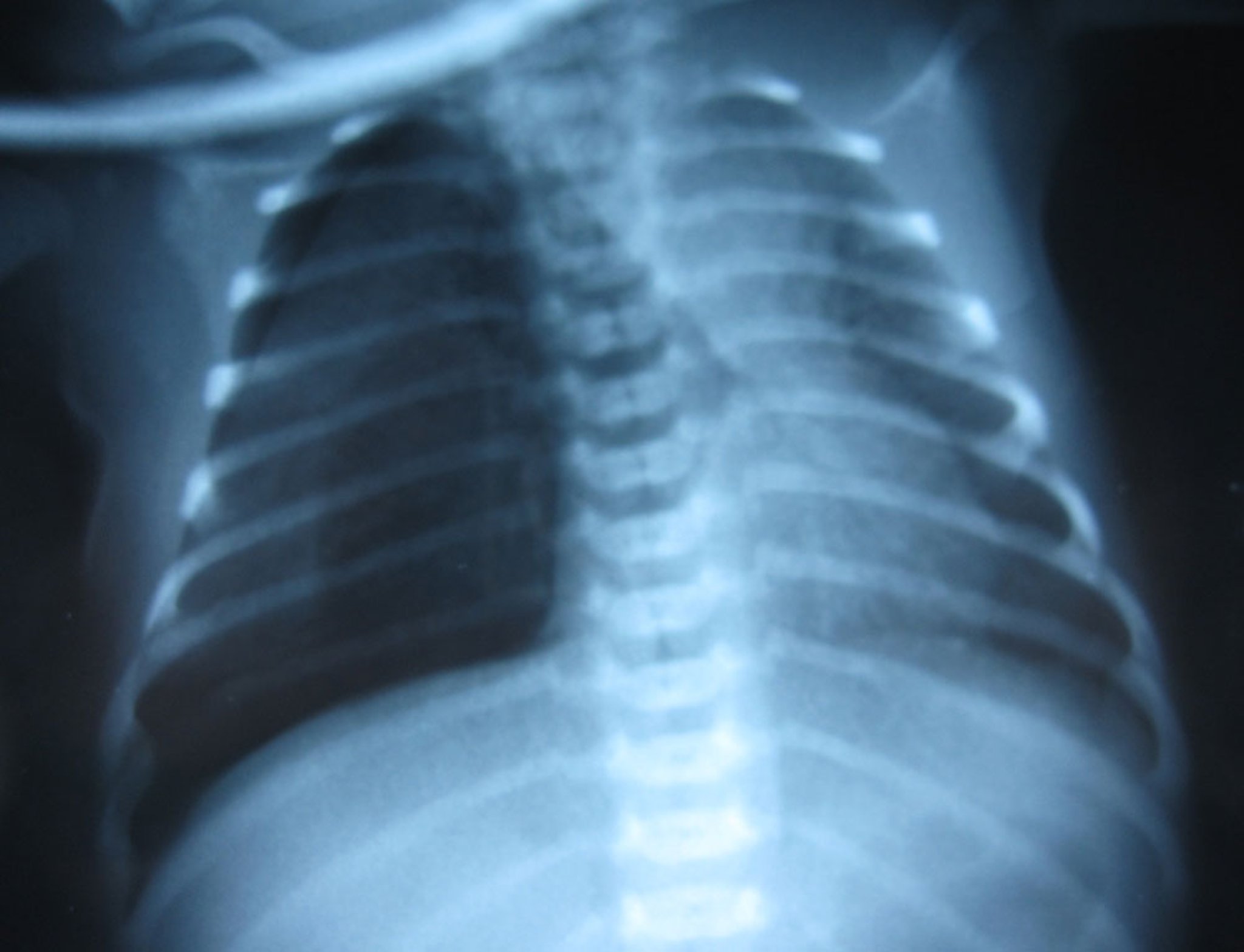
Le pneumothorax correspond à la diffusion d'air dans l'espace pleural; une accumulation suffisante d'air provoque un pneumothorax compressif.
Chez les prématurés extrêmes (< 28 semaines d'âge gestationnel), la rupture prématurée prolongée des membranes, l'oligohydramnios, le besoin de réanimation, la dépression périnatale, les doses multiples de surfactant, l'hypertension pulmonaire persistante et l'hémorragie pulmonaire sont associés à un risque plus élevé de pneumothorax (2).
Bien que parfois asymptomatique, le pneumothorax entraîne généralement l'aggravation d'une tachypnée, un geignement expiratoire et une cyanose. Le murmure vésiculaire est moins bien perçu et le thorax est distendu du côté atteint. Le pneumothorax compressif déclenche un collapsus cardiovasculaire.
Image courtesy of Arcangela Balest, MD.
Le diagnostic de pneumothorax est évoqué par une détérioration du statut respiratoire et/ou par une transillumination du thorax avec une sonde optique. (La transillumination n'est souvent pas utile chez les nourrissons plus gros.) Le diagnostic est confirmé par la radiographie de thorax ou, dans le cas du pneumothorax compressif, par la présence d'air à la ponction pleurale. Une détérioration respiratoire ou hémodynamique rapide avec une absence de bruits respiratoires unilatéraux est fortement en faveur d'un pneumothorax compressif, un diagnostic clinique qui doit être traité rapidement sans attendre de confirmation radiologique.
Dans une étude, environ 16% des nouveau-nés à terme et prématurés tardifs atteints de pneumothorax spontané ont développé une hypertension pulmonaire persistante (1). Cette complication illustre l'importance d'une surveillance stricte de ces patients.
Image courtesy of Arcangela Balest, MD.
Les pneumothorax plus petits se résorbent spontanément, mais les plus importants et suffocants nécessitent l'évacuation de l'air de la cavité pleurale. En cas de pneumothorax compressif, une petite aiguille (calibre 23 ou 25) ou un angiocathéter (calibre 18 ou 20) et une seringue peuvent être utilisés pour évacuer temporairement l'air libre de la cavité pleurale. L'évacuation doit être effectuée sans attendre la confirmation radiologique si le diagnostic clinique de pneumothorax compressif est posé dans un contexte de décompensation ou de détérioration rapide. Le traitement radical est l'insertion d'un tube thoracique relié à une aspiration intermittente basse. La surveillance par l'auscultation, la transillumination et la radiographie de thorax confirment que le drain fonctionne correctement. Une fois que la résolution de l'air libre est observée sur la radiographie et qu'il n'y a plus de bulles dans le bocal du drain thoracique (indiquant qu'aucun air ne provient plus du patient), le drain thoracique peut être clampé. S'il n'y a pas d'accumulation d'air dans l'espace pleural à la radiographie et que le patient reste stable, le drain thoracique est retiré. Un pansement est placé sur le site d'entrée du drain thoracique. Aucun suivi supplémentaire n'est nécessaire chez la plupart des patients. Une fistule bronchopleurale peut se développer après le retrait du drain thoracique.
Dans une étude multicentrique, environ 40% des nouveau-nés atteints de pneumothorax ont été traités de manière conservatrice, tandis qu'environ 60% ont nécessité un drain thoracique ou une aspiration à l'aiguille (3).
Références sur le pneumothorax
1. Smith J, Schumacher RE, Donn SM, Sarkar S: Clinical course of symptomatic spontaneous pneumothorax in term and late preterm newborns: Report from a large cohort. Am J Perinatol 28(2):163–168, 2011. doi: 10.1055/s-0030-1263300
2. Oh SH, Jin HS, Park CH. Risk factors and neonatal outcomes of pulmonary air leak syndrome in extremely preterm infants: A nationwide descriptive cohort study. Medicine (Baltimore). 2023;102(34):e34759. doi:10.1097/MD.0000000000034759
3. Baudat-Nguyen J, Schneider J, Roth-Kleiner M, et al. Incidence and Management of Neonatal Pneumothorax in a 10-Hospital Regional Perinatal Network in Switzerland: A Retrospective Observational Study. Am J Perinatol. 2024;41(S 01):e3305-e3312. doi:10.1055/s-0043-1777861
Pneumomédiastin
Le pneumomédiastin est la dissection par de l'air du tissu conjonctif du médiastin (voir aussi Pleurésie virale); l'air peut disséquer dans les tissus sous-cutanés du cou et du cuir chevelu.
Le pneumomédiastin n'entraîne habituellement aucun symptôme ou signe, bien que l'air sous-cutané entraîne un crépitement.
Le diagnostic de pneumomédiastin repose sur la radiographie. En incidence antéropostérieure, l'air peut former une hyperclarté autour du cœur et soulève les lobes du thymus, les éloignant de la silhouette cardiaque (signe de la voile de spinnaker, ainsi nommé car il ressemble à une voile de bateau).
Aucun traitement du pneumomédiastin n'est habituellement nécessaire et une évolution spontanément favorable est observée.
Emphysème pulmonaire interstitiel
L'emphysème pulmonaire interstitiel correspond à une fuite d'air des alvéoles vers l'interstitium pulmonaire, les vaisseaux lymphatiques ou l'espace sous-pleural. Il est souvent observé chez les nourrissons ayant une faible compliance pulmonaire, tels que ceux qui développent un syndrome de détresse respiratoire et sont traités par ventilation assistée, mais il peut survenir également spontanément. L'un ou les deux poumons peuvent être atteints et l'emphysème peut être localisé ou généralisé. Si la diffusion de l'air est étendue, l'état respiratoire peut s'aggraver de manière aiguë, car la compliance pulmonaire est soudainement réduite.
La radiographie de thorax montre un nombre variable de radiotransparences kystiques ou linéaires dans les champs pulmonaires. Certaines radiotransparences sont allongées; d'autres apparaissent comme de volumineux kystes sous-pleuraux, allant de quelques millimètres à plusieurs centimètres de diamètre. Dans certains cas, l'air s'infiltre également dans les tissus sous-cutanés, produisant des crépitations à l'examen.
L'emphysème interstitiel pulmonaire peut disparaître très rapidement en 1 à 2 jours ou persister sur les radiographies pendant des semaines. Certains nouveau-nés présentant une maladie respiratoire grave et un emphysème pulmonaire interstitiel développent une dysplasie bronchopulmonaire et les images kystiques de l'emphysème pulmonaire interstitiel ancien font alors partie du tableau radiographique de la dysplasie bronchopulmonaire.
Le traitement de l'emphysème pulmonaire interstitiel est principalement de support. La ventilation par jet à haute fréquence présente des avantages par rapport à la ventilation conventionnelle (1). Réduire le volume courant et la pression des voies respiratoires en passant à un ventilateur oscillatoire à haute fréquence peut également être utile. Quel que soit le mode ventilatoire, la réduction du barotraumatisme supplémentaire est l'objectif.
Si un poumon est significativement plus atteint que l'autre, le nourrisson peut être placé en décubitus latéral avec le poumon le plus sévèrement atteint vers le bas; cela aide à comprimer le poumon le plus atteint, diminuant ainsi les fuites d'air et à améliorer peut-être la ventilation du poumon le plus élevé (le plus sain).
Si un poumon est très gravement atteint et que l'autre l'est légèrement ou n'est pas touché, on peut également tenter une intubation bronchique sélective et une ventilation du poumon le moins atteint. Cependant, il peut être techniquement difficile d'intuber sélectivement la bronche principale gauche; une atélectasie totale du poumon non intubé apparaît rapidement. Un seul poumon étant à présent ventilé, les paramètres de la ventilation et la fraction d'oxygène (FiO2) inspiré doivent être modifiés. Après 24 à 48 heures, dès que la fuite d'air semble s'être arrêtée, le tube endotrachéal est retiré de la trachée.
Référence sur l'emphysème pulmonaire interstitiel
1. Keszler M, Donn SM, Bucciarelli RL, et al. Multicenter controlled trial comparing high-frequency jet ventilation and conventional mechanical ventilation in newborn infants with pulmonary interstitial emphysema. J Pediatr. 1991;119(1 Pt 1):85-93. doi:10.1016/s0022-3476(05)81046-7
Pneumopéricarde
Le pneumopéricarde correspond à la diffusion d'air dans le péricarde. Cela affecte presque exclusivement le nouveau-né ventilé mécaniquement.
La plupart des cas sont asymptomatiques, mais si une quantité importante d'air s'accumule, elle peut provoquer une tamponnade cardiaque.
Le diagnostic de pneumopéricarde est suspecté si le nourrisson fait un collapsus circulatoire aigu et il peut être confirmé par une radiotransparence située autour du cœur à la radiographie ou par un retour d'air lors de la péricardiocentèse par angiocathéter et seringue.
Le traitement du pneumopéricarde cliniquement significatif consiste en la péricardiocentèse suivie de l'insertion chirurgicale d'un drain péricardiaque.
Pneumopéritoine
Le pneumopéritoine correspond à la diffusion d'air dans le péritoine. Ceci n'est généralement pas significatif cliniquement, mais cela doit être distingué du pneumopéritoine dû à une rupture d'un viscère abdominal ou à une entérocolite nécrosante, qui constituent une urgence chirurgicale.
Le diagnostic de pneumopéritoine est établi par la radiographie d'abdomen sans préparation et l'examen clinique. Les symptômes cliniques qui associent une contracture abdominale, une absence de bruits intestinaux et des signes d'un sepsis suggèrent des blessures des viscères abdominaux.



