Le foie est un organe métaboliquement complexe. Les hépatocytes (cellules du parenchyme hépatique) exercent les fonctions métaboliques du foie:
Formation et excrétion de la bile en tant que composante du métabolisme de la bilirubine (voir Revue générale du métabolisme de la bilirubine)
Synthèse des lipides et sécrétion des lipoprotéines plasmatiques
Contrôle du métabolisme du cholestérol
Formation de l'urée, de la sérum-albumine, des facteurs de coagulation, d'enzymes, et de nombreuses autres protéines
Métabolisme ou désintoxication des médicaments et autres substances étrangères
Revue générale de la structure hépatique
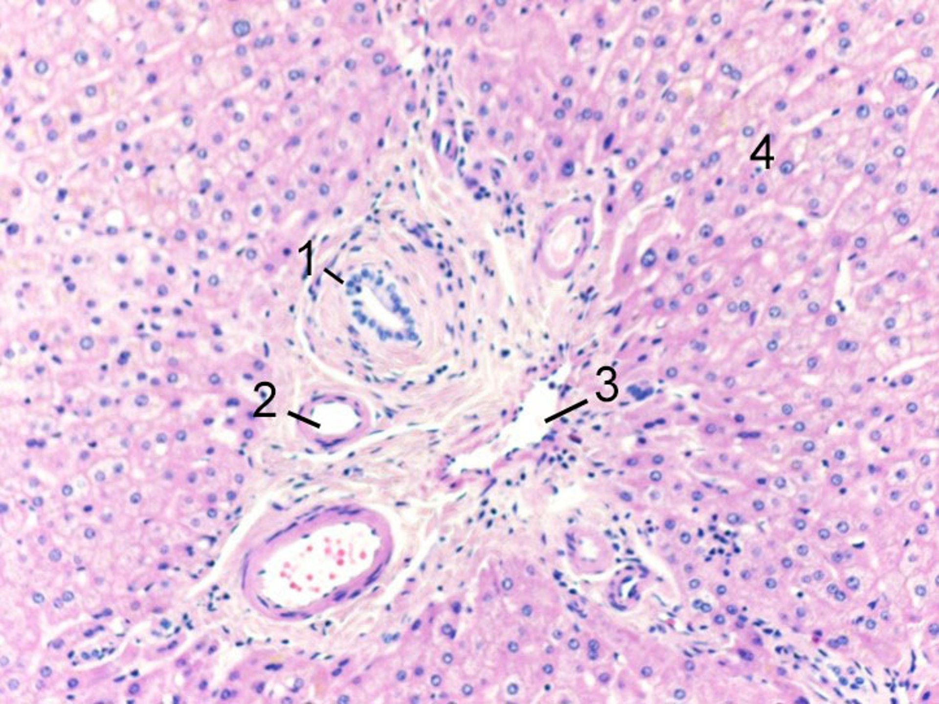
Au niveau cellulaire, les hépatocytes sont organisés au sein d'un lobule, qui est constitué de groupes de cellules de forme hexagonale avec une veine hépatique au centre, et des triades portes autour de la périphérie. Les espaces portes se composent de branches terminales adjacentes et parallèles des voies biliaires, des veines portes et des artères hépatiques. Le sang circule depuis l'artère hépatique et la veine porte (dans les triades portales) en périphérie, à travers les sinusoïdes entre les hépatocytes, vers la veine centrale. Par conséquent, les hépatocytes au centre du lobule sont les plus sensibles à l'ischémie car l'oxygène et les nutriments ont été extraits par les hépatocytes lors de l'écoulement du sang à travers les sinusoïdes provenant de la périphérie. Des canaux plus petits, appelés canalicules biliaires, drainent la bile sécrétée par les hépatocytes dans les voies biliaires intrahépatiques en périphérie.
Image courtesy of Danielle Tholey, MD, and M. Isabel Fiel, MD, MS, FAASLD.
Revue générale du métabolisme de la bilirubine
La dégradation de l'hémoglobine produit de la bilirubine (un produit insoluble issu de cette dégradation) et d'autres pigments biliaires. La bilirubine doit être soluble dans l'eau pour être excrétée. Cette transformation se produit en 5 étapes: formation, transport plasmatique, capture hépatique, conjugaison, et excrétion biliaire.
Formation: environ 250 à 350 mg de bilirubine non conjuguée sont produits quotidiennement; 70 à 80% proviennent de la dégradation des globules rouges en voie de dégénérescence, et 20 à 30% (bilirubine précocement radio-marquée) proviennent essentiellement d'autres protéines héminiques de la moelle osseuse et du foie. L'hémoglobine est dégradée en fer et biliverdine, qui est transformée en bilirubine.
Transport plasmatique: la bilirubine non conjuguée (ou "indirecte") n'est pas soluble dans l'eau et est donc transportée dans le plasma liée à l'albumine. Elle ne peut pas franchir la membrane glomérulaire pour être excrétée dans l'urine. La liaison à l'albumine diminue dans certaines situations (p. ex., une acidose), et certaines substances (p. ex., les salicylates, certains antibiotiques) sont en compétition pour les sites de liaison.
Absorption hépatique: le foie capte la bilirubine rapidement, mais ne capte pas l'albumine sérique qui lui est rattachée.
Conjugaison: la bilirubine non conjuguée dans le foie est conjuguée pour former principalement le diglucuronide de bilirubine (bilirubine conjuguée ou ['directe']). Cette réaction, catalysée par l'enzyme glucuronyl transférase microsomique, rend la bilirubine soluble dans l'eau.
Excrétion biliaire: la bilirubine conjuguée, avec les autres constituants de la bile, est sécrétée dans les minuscules canalicules biliaires. Ces canalicules, formés par les hépatocytes adjacents, fusionnent progressivement en ductules, canaux biliaires interlobulaires et canaux hépatiques plus larges dans le canal hépatique. Le canal hépatique principal rejoint le canal cystique de la vésicule biliaire pour former la voie biliaire principale, qui se déverse dans le duodénum au niveau de l'ampoule de Vater.
Dans l'intestin, les bactéries métabolisent la bilirubine pour former l'urobilinogène, dont une grande partie est ensuite métabolisée en stercobilines, qui donnent aux selles leur couleur brune. En cas d'obstruction biliaire complète, les selles perdent leur couleur normale et deviennent gris clair (selles couleur argile). Une partie de l'urobilinogène est réabsorbée, extraite par les hépatocytes, et réexcrétée dans la bile (circulation entérohépatique). Une petite quantité est excrétée dans l'urine.
Parce que la bilirubine conjuguée est excrétée dans l'urine alors que la bilirubine non conjuguée ne l'est pas, seule une hyperbilirubinémie conjuguée (p. ex., due à un ictère hépatocellulaire ou cholestatique) provoque une bilirubinurie.
Autres fonctions hépatiques
Le foie est un organe complexe impliqué dans de nombreux processus biochimiques, notamment la régulation du métabolisme des glucides, des lipides et des protéines (y compris le stockage du glucose et du glycogène), le contrôle du métabolisme du cholestérol et la formation de protéines clés, notamment l'albumine, les facteurs de coagulation, les enzymes et les compléments. Le foie agit également comme un filtre et joue un rôle clé dans la purification et l'élimination des déchets et des toxines (médicaments, substances étrangères) de la circulation sanguine. La dysrégulation des fonctions hépatiques normales peut se traduire par des manifestations cliniques telles que des troubles de la coagulation, une susceptibilité accrue aux infections, des perturbations de la glycémie et des complications de l'hypertension portale, comme l'encéphalopathie hépatique due à l'accumulation accrue de déchets tels que l'ammoniaque.
Physiopathologie des troubles hépatiques
Les troubles hépatiques peuvent résulter d'une grande variété d'agressions, y compris infections, médicaments, substances illicites, toxines, ischémie et maladies auto-immunes. Parfois, un dysfonctionnement hépatique peut survenir en post-opératoire. La plupart des troubles hépatiques causent un certain degré de lésion hépatocellulaire et de nécrose, entraînant divers résultats anormaux aux examens de laboratoire et, parfois, des symptômes. Les symptômes peuvent être directement dus à une hépatopathie (p. ex., ictère lié à une hépatite aiguë) ou aux complications de l'hépatopathie (p. ex., saignement gastro-intestinal aigu lié à une cirrhose et hypertension portale).
Des maladies spécifiques affectent préférentiellement certaines structures ou fonctions hépatobiliaires:
Hépatite virale aiguë: dommages aux hépatocytes ou lésion hépatocellulaire
Cholangite biliaire primitive: altération de la sécrétion biliaire (cholestase);
Cirrhose: fibrose hépatique et hypertension portale résultante
La région du système hépatobiliaire affectée détermine les symptômes, les signes et les anomalies des examens complémentaires (voir Exploration des troubles hépatiques et biliaires). Certains troubles (p. ex., une hépatopathie alcoolique sévère) affectent de multiples structures hépatiques, conduisant à un tableau clinique combinant signes, symptômes et anomalies biologiques.
Après la nécrose, le foie peut se régénérer. Même une nécrose étendue peut guérir complètement (p. ex., en cas d'hépatite virale aiguë). Une régénération incomplète et une fibrose, cependant, peuvent être la conséquence de lésions qui relient entre eux des lobules entiers ou de lésions moins prononcées, mais persistantes.
Le pronostic des complications graves est plus défavorable chez les personnes âgées, qui ont plus de difficultés à se remettre d'un stress physiologique sévère et à tolérer l'accumulation de toxiques.




