Cavities
This image shows new and recurring cavities in a person with dry mouth.
Image provided by Jonathan A. Ship, DMD.
In these topics
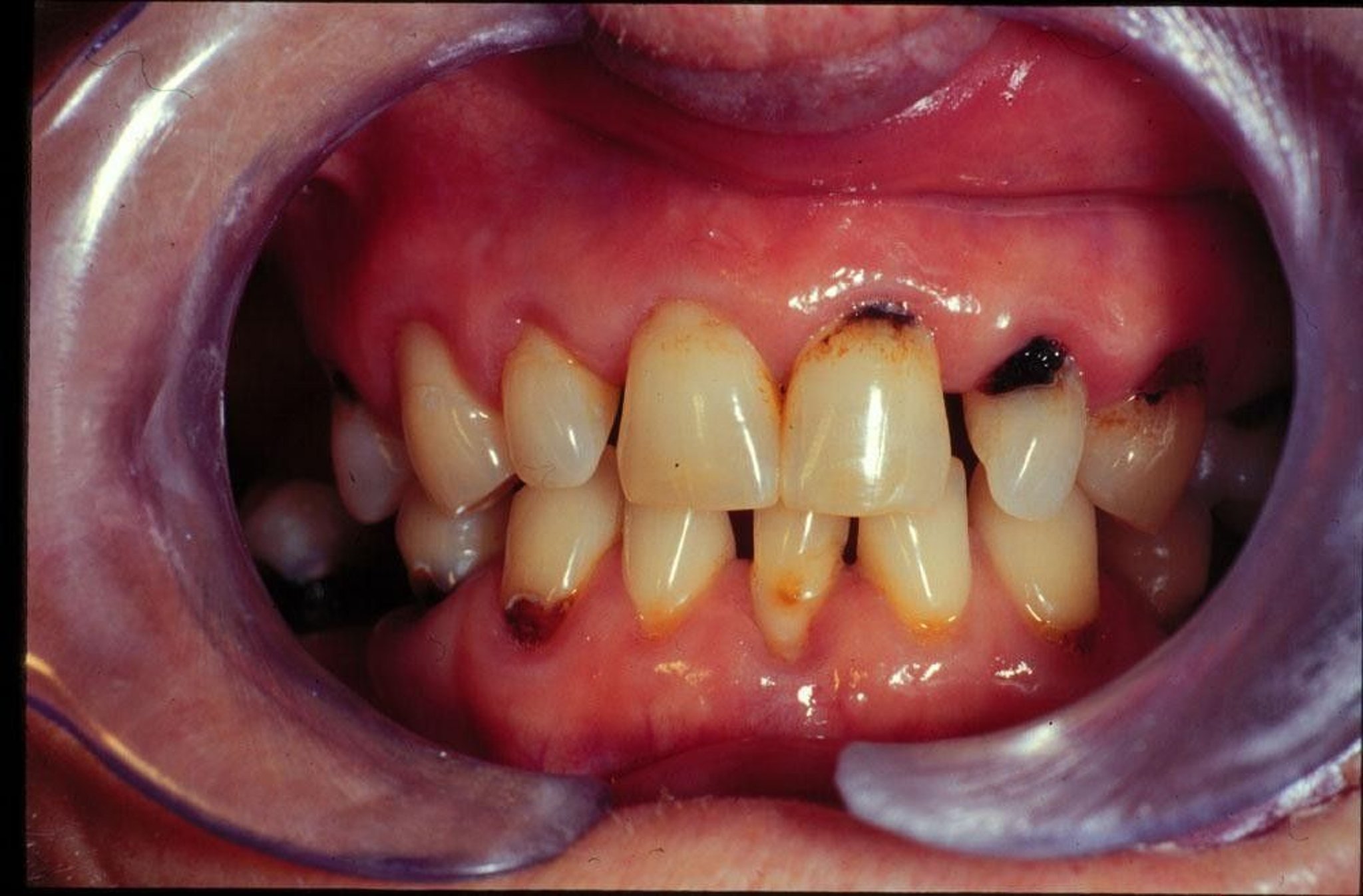
This image shows new and recurring cavities in a person with dry mouth.
Image provided by Jonathan A. Ship, DMD.