Displaced Olecranon Fracture
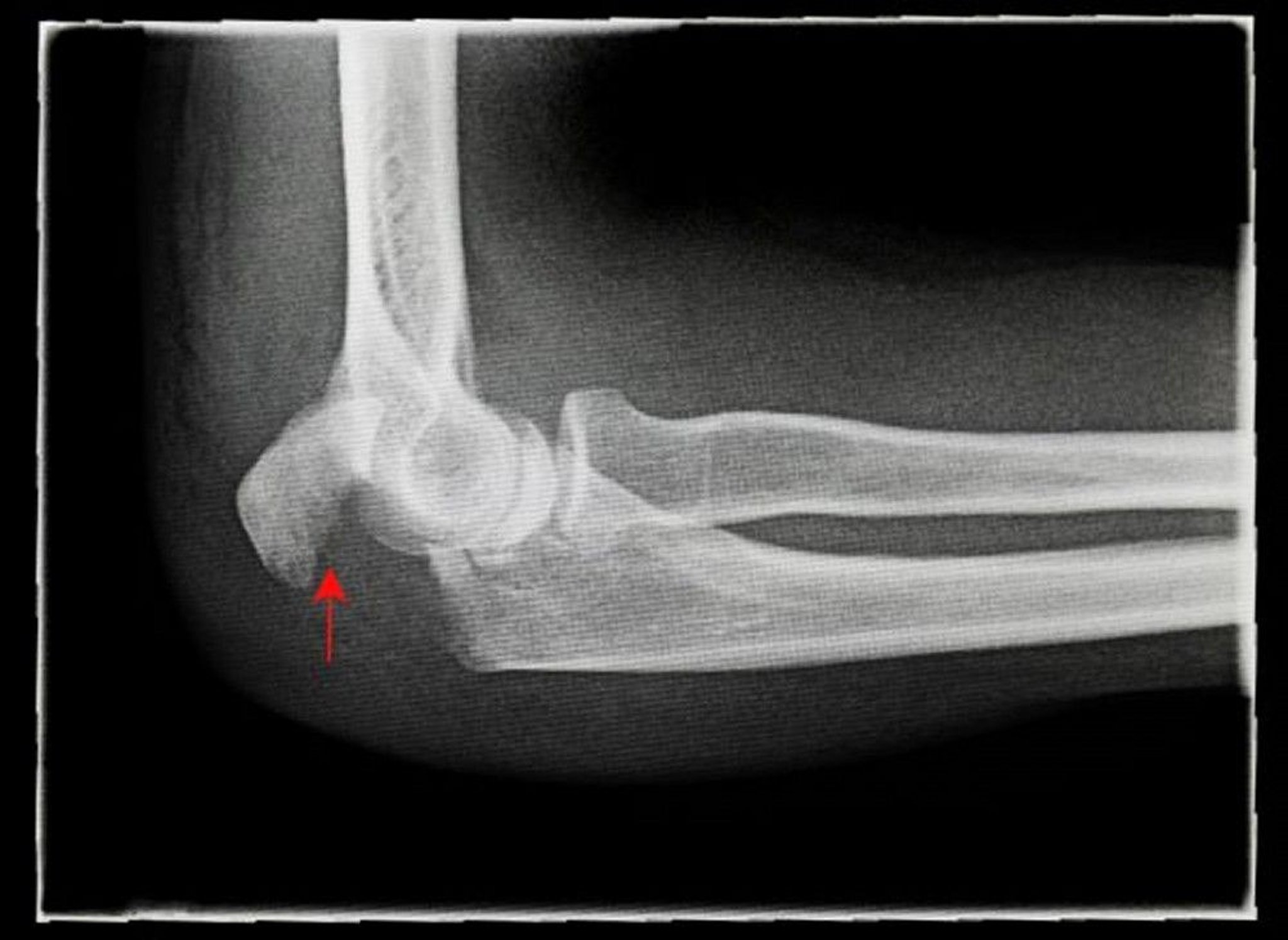
This x-ray shows a side (lateral) view of a displaced olecranon fracture (arrow).
ANTONIA REEVE/SCIENCE PHOTO LIBRARY
In these topics
This x-ray shows a side (lateral) view of a displaced olecranon fracture (arrow).
ANTONIA REEVE/SCIENCE PHOTO LIBRARY