Ultrasound Scan of the Liver and Gallbladder
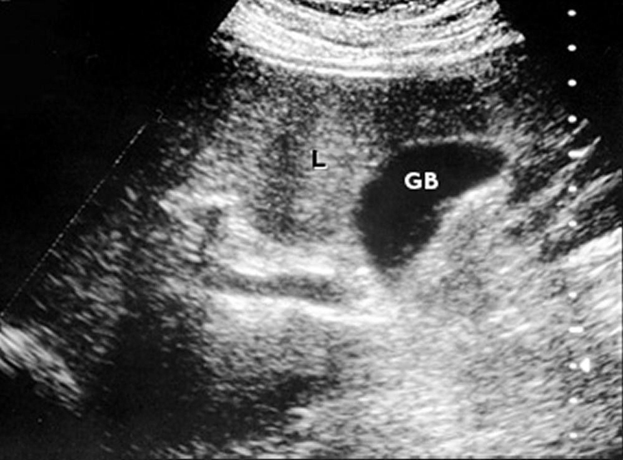
This photo shows a normal ultrasound scan of the liver (L) and gallbladder (GB).
Courtesy of Michael Y. Chen, MD.
In these topics
This photo shows a normal ultrasound scan of the liver (L) and gallbladder (GB).
Courtesy of Michael Y. Chen, MD.