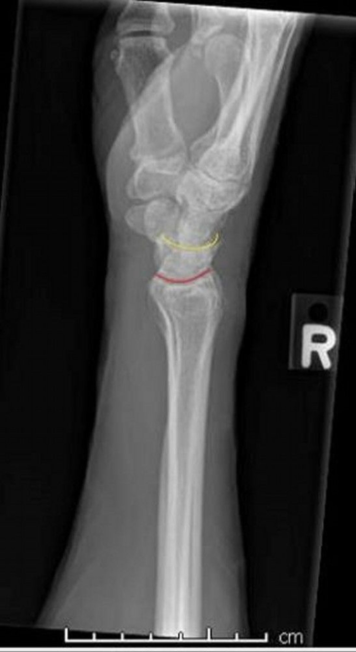
Normal Wrist: Lateral View
This lateral view of a normal wrist demonstrates the normal interface between the radius and lunate (red line) and the lunate and capitate (yellow line).
Image courtesy of Danielle Campagne, MD.
In these topics
This lateral view of a normal wrist demonstrates the normal interface between the radius and lunate (red line) and the lunate and capitate (yellow line).
Image courtesy of Danielle Campagne, MD.