Sarcoidosis (Histopathology)
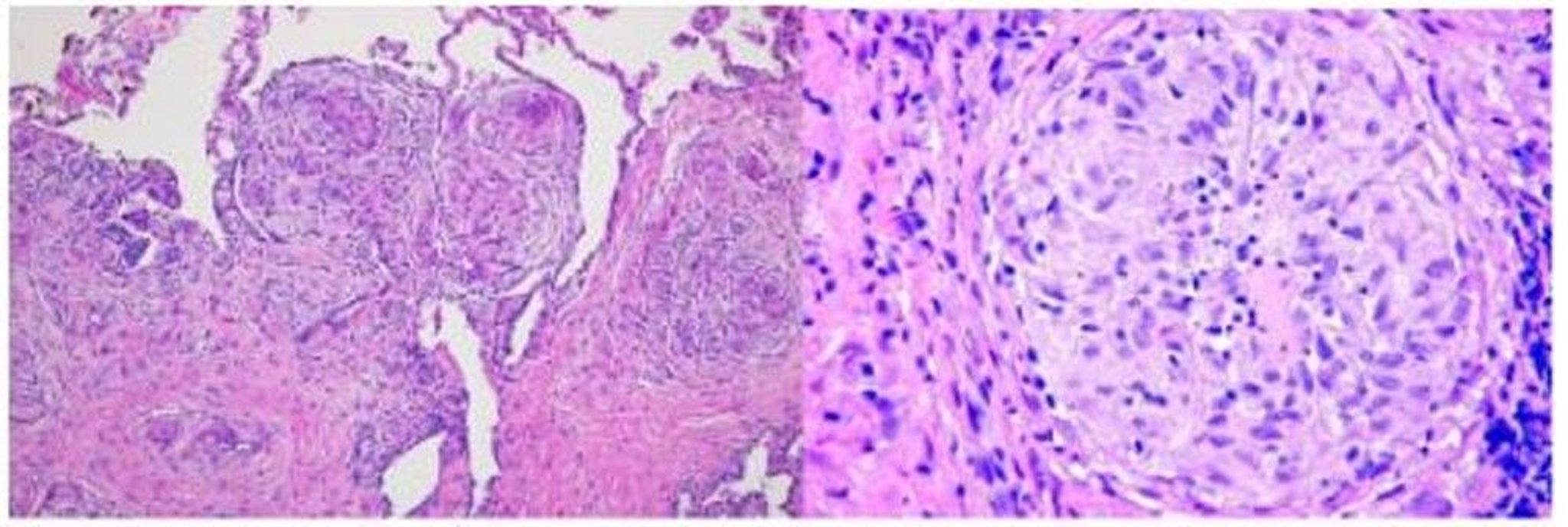
In this image, a lung biopsy of a patient with sarcoidosis shows granulomas along the bronchovascular bundle (hematoxylin and eosin stain, low magnification; left) and sarcoid granuloma with multinucleated giant cells in center of granulomas (high magnification; right).
Image courtesy of Birendra P. Sah, MD, FCCP.
In these topics
