Toxoplasmose

ParChelsea Marie, PhD, University of Virginia;
William A. Petri, Jr, MD, PhD, University of Virginia School of Medicine
Reviewed ByChristina A. Muzny, MD, MSPH, Division of Infectious Diseases, University of Alabama at Birmingham
Vérifié/Révisé Modifié sept. 2025
v1017354_fr
Voir l’éducation des patients

La toxoplasmose est une infection due à Toxoplasma gondii. Les symptômes peuvent être inexistants ou aller d'une lymphadénopathie bénigne, une maladie de type mononucléose, à des troubles du système nerveux central mettant en jeu le pronostic vital ou à une atteinte d'autres organes chez le patient immunodéprimé. Une encéphalite peut survenir chez les patients atteints d'infection par le VIH avancée et de taux de CD4 bas. Une rétinochoroïdite, des convulsions et un handicap intellectuel sont observés dans l'infection congénitale. Le diagnostic repose sur les tests sérologiques, l'histopathologie ou la Polymerase Chain Reaction (PCR). Le traitement est le plus souvent composé de pyriméthamine associée à de la sulfadiazine ou de la clindamycine. Des corticostéroïdes sont administrés simultanément en cas de rétinochoroïdite.

L'exposition humaine à la toxoplasmose est fréquente partout où l'on trouve des chats.

Une étude menée en 2010 a révélé que 12,4% des personnes âgées de ≥ 6 ans aux États-Unis étaient séropositives (1), ce qui indique qu'elles avaient été infectées. En Europe, la plage de séroprévalence est de 30 à 50%, et en Amérique du Sud, la séroprévalence varie de 30 à 80% (2).

Le risque de développer une maladie grave est très faible, sauf pour un fœtus infecté in utero et des sujets qui sont ou deviennent gravement immunodéprimés en raison d'une infection par le VIH avancée ou d'autres maladies. D'autres facteurs qui peuvent contribuer incluent le manque d'accès à l'eau potable salubre, l'assainissement inadéquat et une mauvaise hygiène (3).

Références générales

  1. 1. Jones JL, Kruszon-Moran D, Rivera HN, Price C, Wilkins PP. Toxoplasma gondii seroprevalence in the United States 2009-2010 and comparison with the past two decades. Am J Trop Med Hyg. 2014;90(6):1135-1139. doi:10.4269/ajtmh.14-0013

  2. 2. Molan A, Nosaka K, Hunter M, Wang W. Global status of Toxoplasma gondii infection: systematic review and prevalence snapshots. Trop Biomed. 2019;36(4):898-925.

  3. 3. World Health Organization (WHO): Toxoplasma gondii. Background document for the WHO Guidelines for drinking-water quality and the WHO Guidelines on sanitation and health. 2025.

Physiopathologie de la toxoplasmose

T. gondii est ubiquitaire chez les oiseaux et les mammifères (voir aussi Toxoplasmosis in Animals [Toxoplasmose chez les animaux])). Ce parasite intracellulaire obligatoire envahit le cytoplasme et se multiplie de façon asexuée sous forme de tachyzoïtes dans n'importe quelle cellule nucléée. Lorsque l'immunité de l'hôte se développe, la multiplication des tachyzoïtes cesse et des kystes tissulaires se forment; les kystes persistent à l'état latent pendant des années, particulièrement dans le cerveau, dans les yeux et dans les muscles. Les formes dormantes de Toxoplasma dans les kystes sont appelées bradyzoïtes.

La reproduction sexuée de T. gondii a lieu dans l'intestin des chats; les oocystes produits émis dans les selles restent infectieux dans un sol humide pendant des mois. Les seuls hôtes finaux connus de T. gondii sont les membres de la famille des félidés (les chats domestiques et les autres félins).

L'infection peut aussi être contractée par:

  • Ingestion d'oocystes

  • Ingestion de kystes tissulaires

  • Transmission transplacentaire

  • Transfusion sanguine ou transplantation d'organes

L'ingestion d'oocystes dans la nourriture ou l'eau contaminée, provenant des selles de chat, est le mode le plus courant d'infection par voie orale. L'infection peut également se produire en mangeant de la viande crue ou peu cuite contenant des kystes tissulaires, le plus souvent de l'agneau et du porc et rarement du bœuf. L'infection peut également être contractée en consommant des fruits de mer crus ou insuffisamment cuits ou, moins fréquemment, d'autres types de poissons.

Après l'ingestion d'oocystes ou de kystes tissulaires, les tachyzoïtes sont libérés et se propagent dans le corps. Cette infection aiguë est suivie par le développement des réponses immunitaires protectrices et la formation de kystes dans de nombreux organes. Les kystes peuvent se réactiver provoquant la maladie, en particulier chez les patients immunodéprimés. Une toxoplasmose latente se réactive chez les patients atteints d'une infection par le VIH avancée qui ne prennent pas d'antibiothérapie préventive, mais l'utilisation universelle du triméthoprime/sulfaméthoxazole pour la prophylaxie du Pneumocystis en a dramatiquement réduit l'incidence (1).

La toxoplasmose peut être transmise par voie transplacentaire si la mère est infectée pendant la grossesse ou en cas de déficit immunitaire qui réactive une infection antérieure. La transmission de Toxoplasma à un fœtus est extrêmement rare chez les patientes enceintes immunocompétentes qui ont été infectées par Toxoplasma et qui ont développé une immunité avant la grossesse.

La transmission peut survenir par une transfusion de sang complet ou de globules blancs ou une transplantation d'un organe d'un donneur séropositif.

Chez le sujet par ailleurs en bonne santé, une infection congénitale ou acquise peut se réactiver dans les yeux. La réactivation non oculaire est très rare chez les sujets en bonne santé. Un antécédent d'infection confère généralement une résistance à la réinfection. Chez les patients immunodéprimés, une infection réactivée est plus susceptible de se produire dans le cerveau, mais elle peut affecter les yeux ou se disséminer.

Référence pour la physiopathologie

  1. 1. Abgrall S, Rabaud C, Costagliola D; Clinical Epidemiology Group of the French Hospital Database on HIV. Incidence and risk factors for toxoplasmic encephalitis in human immunodeficiency virus-infected patients before and during the highly active antiretroviral therapy era. Clin Infect Dis. 2001;33(10):1747-1755. doi:10.1086/322622

Symptomatologie de la toxoplasmose

Les infections peuvent se présenter de plusieurs façons:

  • Toxoplasmose aiguë

  • Toxoplasmose du système nerveux central

  • Toxoplasmose congénitale

  • Toxoplasmose oculaire

  • Maladie disséminée ou n'impliquant pas le système nerveux central chez les patients immunodéprimés

Toxoplasmose aiguë

L'infection aiguë est habituellement asymptomatique, mais 10 à 20% des patients développent des adénopathies bilatérales, indolores cervicales ou axillaires (1). Quelques-uns de ces patients ont également un léger syndrome grippal avec fièvre, une sensation de malaise, myalgies, hépatosplénomégalie et, plus rarement, pharyngite, qui peut évoquer une mononucléose infectieuse et comprendre une lymphadénite. Une lymphocytose atypique, une anémie modérée, une leucopénie et une légère élévation des enzymes hépatiques sont fréquentes.

Le syndrome peut persister pendant des semaines ou des mois, mais est presque toujours autolimité.

Toxoplasmose du système nerveux central

La plupart des patients immunodéprimés qui développent une toxoplasmose présentent une encéphalite et des lésions expansives intracrâniennes en anneau visibles sur la TDM ou l'IRM, toutes deux avec contraste.

Le risque est plus élevé chez les patients atteints d'une infection par le VIH dont le taux de CD4 est < 50/mcL; l'encéphalite toxoplasmique est rare lorsque le taux de CD4 est > 200/mcL. Ces patients ont habituellement des céphalées, une modification de l'état mental, des convulsions, un coma, de la fièvre, et parfois des déficits neurologiques focaux, tels qu'une perte sensorielle ou motrice, une paralysie des nerfs crâniens, des anomalies visuelles et des convulsions focales.

Toxoplasmose congénitale

La toxoplasmose congénitale résulte généralement d'une infection aiguë primitive souvent asymptomatique contractée par la mère pendant la grossesse. La femme infectée avant la conception ne transmet généralement pas la toxoplasmose au fœtus, à moins que l'infection ne soit réactivée pendant la grossesse en raison d'un déficit immunitaire.

La probabilité de transmission verticale au fœtus augmente avec l'âge gestationnel, et le risque de transmission est estimé à 2,2% à 6 semaines, 23% à 18 semaines et 56% à 30 semaines de grossesse (2).

Une infection congénitale peut entraîner un avortement spontané, une mort fœtale tardive ou des malformations congénitales.

La maladie, chez le nouveau-né peut être grave, surtout si elle est contractée tôt pendant la grossesse; les signes comprennent un ictère, une éruption cutanée, une hépatosplénomégalie, et une tétrade caractéristique d'anomalies:

  • Rétinochoroïdite bilatérale

  • Calcifications cérébrales

  • Hydrocéphalie ou microcéphalie

  • Ralentissement psychomoteur

Pour les nourrissons nés avec une maladie grave, le pronostic est défavorable.

La gravité des maladies congénitales diminue si la mère est infectée plus tard au cours de la grossesse. Nombre d'enfants avec des infections moins graves et la plupart des nourrissons nés de mères infectées pendant le 3e trimestre semblent en bonne santé à la naissance, mais sont à haut risque de crises, de handicap intellectuel, de rétinochoroïdite ou d'autres symptômes qui se développent des mois ou même des années plus tard.

Toxoplasmose oculaire

La toxoplasmose oculaire résulte habituellement d'une infection congénitale réactivée, souvent durant l'adolescence et la vingtaine, mais elle est rare en cas d'infections acquises. Une rétinite focale nécrosante et une inflammation granulomateuse secondaire de la choroïde peuvent survenir et entraîner une douleur oculaire, une vision trouble et parfois une cécité.

Les récidives sont fréquentes.

Infection disséminée sans atteinte du système nerveux central

La maladie en dehors de l'œil et du système nerveux central est beaucoup moins fréquente et survient principalement chez des patients sévèrement immunodéprimés. Elles peuvent se présenter sous forme d'une pneumonie, d'une myocardite, d'une polymyosite, d'une éruption maculopapuleuse diffuse, d'une fièvre élevée, de frissons et de prostration.

Au cours des pneumopathies toxoplasmiques, des infiltrats interstitiels diffus peuvent progresser rapidement vers la condensation et entraîner une insuffisance respiratoire, alors que les endartérites peuvent induire l'infarcissement de petits segments pulmonaires. La myocardite, où des troubles de la conduction sont fréquents mais souvent asymptomatiques, peut rapidement aboutir à une insuffisance cardiaque.

Les infections disséminées sont habituellement mortelles sans traitement.

Références pour la symptomatologie

  1. 1. Centers for Disease Control and Prevention (CDC). Toxoplasmosis. Accessed April 22, 2025.

  2. 2. Rabilloud M, Wallon M, Peyron F. In utero and at birth diagnosis of congenital toxoplasmosis: use of likelihood ratios for clinical management. Pediatr Infect Dis J. 2010;29(5):421-425. doi:10.1097/INF.0b013e3181c80493

Diagnostic de la toxoplasmose

  • Tests sérologiques

  • Evaluation histopathologique des biopsies

  • Tests basés sur la Polymerase Chain Reaction du sang, du liquide céphalorachidien, des tissus ou, pendant la grossesse, du liquide amniotique

  • En cas d'atteinte du système nerveux central, TDM ou IRM et ponction lombaire (rarement, biopsie cérébrale)

Le diagnostic de la toxoplasmose est habituellement établi en utilisant des tests sérologiques qui incluent un test d'immunofluorescence indirecte (IFI) ou un dosage immunoenzymatique (EIA) pour mesurer les titres d'anticorps IgG et IgM (voir tableau Interprétation des tests sérologiques de Toxoplasma). Les anticorps IgM spécifiques apparaissent pendant les 2 premières semaines de la maladie aiguë, atteignent un pic en 4 à 8 semaines et deviennent par la suite indétectables, mais ils peuvent être présents pendant 18 mois après une infection aiguë. Les anticorps IgG apparaissent plus lentement, atteignent un titre maximal en 1 à 2 mois et peuvent rester élevés et stables pendant des mois ou des années. Les dosages d'IgM contre Toxoplasma manquent de spécificité; dans les régions où l(incidence d'infection à Toxoplasma est faible, une proportion des résultats positifs des tests IgM sera faussement positive (1).

Tableau
Tableau

Le diagnostic de toxoplasmose aiguë pendant la grossesse et chez le fœtus ou le nouveau-né peut être difficile et la consultation d'un expert est recommandée. Si la patiente est enceinte, avec des IgG et IgM positifs, un test d'avidité des IgG (force de liaison antigène-anticorps) doit être effectué. La présence d'anticorps de forte avidité au cours des 12 à 16 premières semaines de grossesse exclut pratiquement une infection contractée pendant la grossesse. Cependant, une faible avidité des IgG ne peut pas toujours être interprétée comme indiquant une infection récente car certains patients peuvent avoir une faible avidité d'IgG (force de liaison antigène-anticorps) persistante pendant plusieurs mois après une infection. Une suspicion d'infection récente chez une femme enceinte doit être confirmée avant toute décision en ayant testé les sérums dans un laboratoire de référence pour la toxoplasmose. Si le patient a une maladie cliniquement compatible avec une toxoplasmose, mais un titre d'IgG faible, un suivi des titres 2 à 3 semaines plus tard, doit montrer une élévation du titre d'anticorps pour pouvoir affirmer que la maladie est due effectivement à une toxoplasmose aiguë, sauf si l'hôte est sévèrement immunodéprimé. Si le titre reste faible, une amniocentèse doit être envisagée pour effectuer une PCR.

En général, la détection d'anticorps IgM spécifiques de Toxoplasma chez le nouveau-né suggère une infection congénitale. Les IgG maternelles traversent le placenta, mais pas les IgM; ceci suggère que la source des IgM est le fœtus ou le nouveau-né in utero. La détection d'anticorps IgA spécifiques de Toxoplasma est plus sensible que celle des IgM chez le nourrisson congénitalement infecté, mais le test IgA pour la toxoplasmose n'est disponible que dans certains établissements de référence (p. ex., Dr. Jack S. Remington Laboratory for Specialty Diagnostics). Un expert doit être consulté lorsqu'une infection congénitale ou fœtale est suspectée. Chez les patients immunodéprimés, une infection aiguë doit être suspectée si les IgG sont positives. Cependant, les taux d'anticorps IgG chez les patients qui ont une infection par le VIH et une encéphalite à Toxoplasma sont habituellement faibles à modérés, et les anticorps IgG sont parfois absents; les anticorps IgM sont absents.

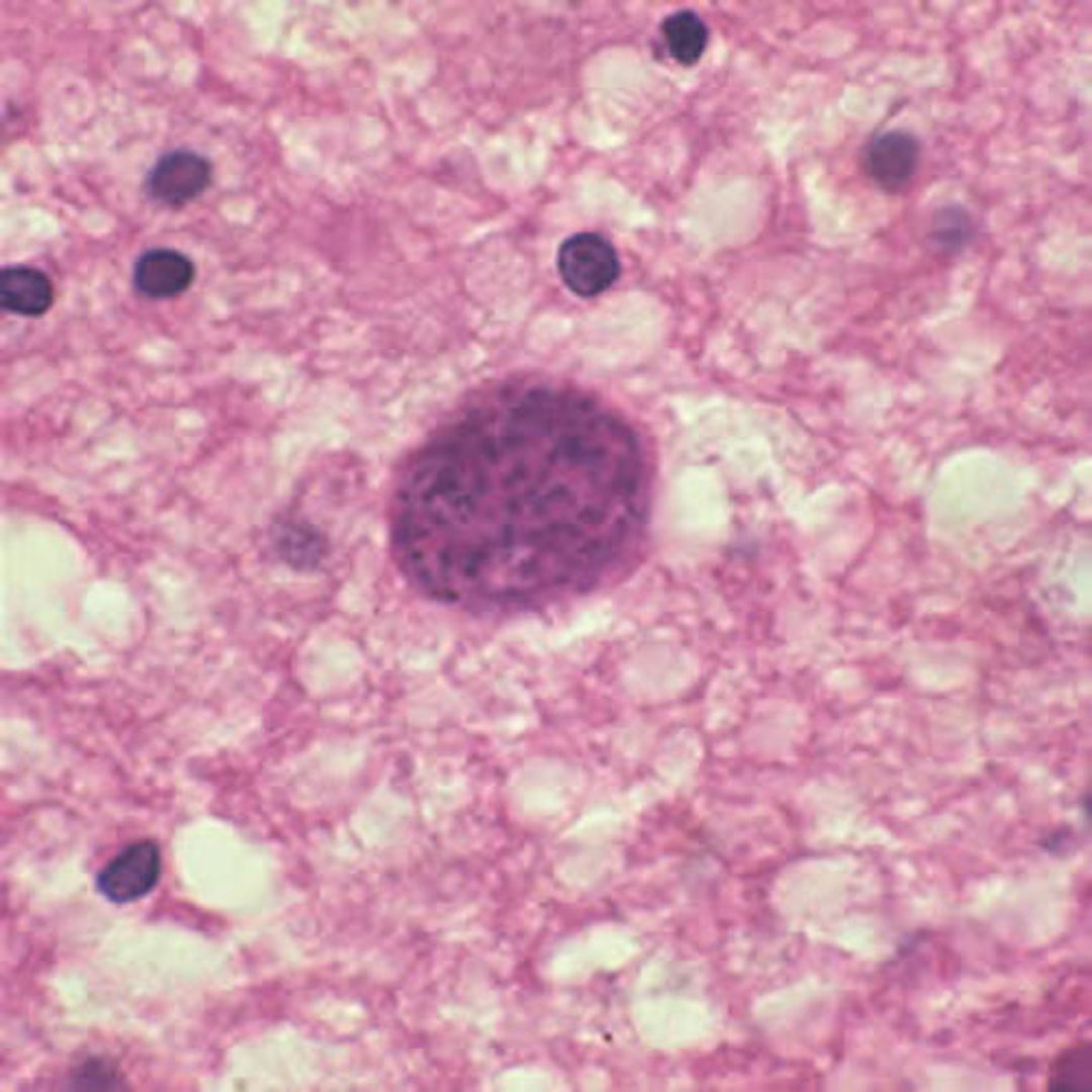
Les Toxoplasma peuvent, occasionnellement, être mis en évidence histopathologiquement. Les tachyzoïtes qui sont présents pendant l'infection aiguë prennent la coloration de Giemsa ou celle de Wright, mais peuvent être difficiles à déceler dans les prélèvements histologiques usuels. Les kystes tissulaires ne permettent pas de distinguer l'infection aiguë de l'infection chronique. Les Toxoplasma doivent être différenciés d'autres microrganismes intracellulaires tels que Histoplasma, Trypanosoma cruzi, et Leishmania. En ce qui concerne l'ADN du parasite dans le sang, les tests PCR sur le liquide céphalorachidien ou le liquide amniotique obtenus par amniocentèse sont disponibles dans plusieurs laboratoires de référence. L'analyse du liquide amniotique par PCR est la méthode de choix pour diagnostiquer une toxoplasmose pendant la grossesse.

En cas de suspicion de toxoplasmose du système nerveux central, les patients doivent subir une TDM ou une IRM cérébrale avec injection de produit de contraste, ou les deux, ainsi qu'une ponction lombaire s'il n'y a pas de signes d'hypertension intracrânienne. L'IRM est plus sensible que la TDM. La TDM ou l'IRM avec contraste montrent habituellement des lésions isolées ou multiples, arrondies et en anneau qui prennent le contraste. Bien que ces lésions ne soient pas pathognomoniques, leur présence chez des patients qui ont une infection avancée par le VIH et présentent des symptômes du système nerveux central justifie un test thérapeutique pour T. gondii. Le liquide céphalorachidien peut montrer une pléiocytose lymphocytaire et la protéinorachie peut être élevée.

Si le diagnostic suspecté de toxoplasmose du système nerveux central est correct, une amélioration clinique et radiographique doit apparaître dans les 7 à 14 jours. Si les symptômes s'aggravent la 1ère semaine ou ne diminuent pas à la fin de la 2e semaine, une biopsie cérébrale doit être envisagée. La coloration hématoxyline-éosine montrant des kystes est définitive pour le diagnostic de toxoplasmose du système nerveux central.

La maladie oculaire est diagnostiquée sur l'aspect des lésions oculaires, des symptômes, de l'évolution de la maladie, et des résultats des tests sérologiques.

Référence pour le diagnostic

  1. 1. Kaul R, Chen P, Binder SR. Detection of immunoglobulin M antibodies specific for Toxoplasma gondii with increased selectivity for recently acquired infections. J Clin Microbiol. 2004;42(12):5705-5709. doi:10.1128/JCM.42.12.5705-5709.2004

Traitement de la toxoplasmose

  • Pyriméthamine et sulfadiazine plus leucovorine (pour prévenir la suppression de la moelle osseuse); comme alternative, l'association médicamenteuse fixe triméthoprime-sulfaméthoxazole dans certaines situations

  • Clindamycine ou atovaquone plus pyriméthamine lorsque le patient est allergique aux sulfamides ou ne tolère pas la sulfadiazine

  • Spiramycine chez les femmes enceintes (sans preuve d'infection fœtale)

Le traitement de la toxoplasmose n'est pas indiqué chez les patients immunocompétents asymptomatiques ou qui présentent une infection aiguë légère et non compliquée; le traitement n'est requis qu'en cas de maladie viscérale ou de symptômes sévères ou persistants.

Cependant, un traitement spécifique est indiqué dans la toxoplasmose aiguë chez les patients suivants:

  • Nouveau-nés

  • Femmes enceintes atteintes de toxoplasmose aiguë

  • Patients immunodéprimés

Pièges à éviter

  • Aucun traitement n'est requis chez les patients immunocompétents qui sont asymptomatiques ou qui présentent une toxoplasmose aiguë légère et non compliquée.

Traitement des patients immunocompétents

Le protocole le plus efficace chez les patients immunocompétents présentant une atteinte viscérale ou des symptômes sévères ou persistants est la pyriméthamine plus la sulfadiazine pendant 2 à 4 semaines.

La leucovorine (acide folinique) est administrée simultanément pour aider à protéger contre la suppression de la moelle osseuse.

En cas d'hypersensibilité aux sulfamides, on administre de la clindamycine avec de la pyriméthamine et la leucovorine à la place des sulfamides. Une autre option est l'atovaquone plus la pyriméthamine et la leucovorine. L'association fixe de triméthoprime/sulfaméthoxazole a été utilisée comme alternative ainsi que la pyriméthamine et la leucovorine plus la clarithromycine, ou la dapsone, ou l'azithromycine, mais elles n'ont pas été étudiées de manière approfondie.

Traitement des patients immunodéprimés

La toxoplasmose chez les patients immunodéprimés est souvent fatale si elle n'est pas traitée. En plus des antiparasitaires, la thérapie antirétrovirale doit être optimisée chez les patients qui ont une co-infection toxoplasmose et VIH. Les infections non traitées ou insuffisamment traitées peuvent se disséminer.

Des doses plus élevées de pyriméthamine sont utilisées chez les patients immunodéprimés, chez les patients atteints de toxoplasmose du système nerveux central, ou, rarement, chez ceux qui ont une atteinte d'autres organes. Une dose de charge de pyriméthamine est administrée le premier jour, puis des doses régulières sont administrées 1 fois/jour. La sulfadiazine est ajoutée pendant au moins 6 semaines et pendant 4 à 6 semaines après la résolution des symptômes et signes cliniques. Les troubles hématopoïétiques dus à la pyriméthamine peuvent être minimisés par la leucovorine, également appelée acide folinique (et non pas par le folate, qui bloque l'effet thérapeutique). Même lorsque la leucovorine est administrée, la numération formule sanguine doit être surveillée une fois/semaine.

Si la pyriméthamine n'est pas disponible, le triméthoprime/sulfaméthoxazole IV ou par voie orale 2 fois/jour est une alternative potentiellement efficace, mais la pyriméthamine est plus active que le triméthoprime contre la dihydrofolate réductase du parasite.

Si les patients ne peuvent pas prendre de sulfamides, de la pyriméthamine et de la leucovorine plus de la clindamycine peuvent être utilisés. L'atovaquone avec ou sans pyriméthamine et la leucovorine est une autre option.

Le traitement d'entretien chronique est utilisé après un traitement efficace de la maladie aiguë pour prévenir les rechutes chez les patients qui restent immunodéprimés. Les rechutes sont particulièrement fréquentes chez les patients ayant une infection par le VIH avancée avec une numération des CD4 < 200/mcL. Le traitement d'entretien est poursuivi jusqu'à ce que le nombre de CD4 reste > 200/mcL pendant > 6 mois sous traitement antirétroviral.

Il existe plusieurs options pour le traitement d'entretien:

  • Sulfadiazine, pyriméthamine et leucovorine

  • Clindamycine, pyriméthamine et leucovorine

  • Atovaquone, pyriméthamine et leucovorine

  • Atovaquone et sulfadiazine

  • Atovaquone seulement

La sulfadiazine et la pyriméthamine plus leucovorine peuvent être poursuivies à des doses plus faibles que celles utilisées pour le traitement initial. Une alternative pour les patients qui ne tolèrent pas les sulfamides est la clindamycine plus la pyriméthamine plus la leucovorine, mais un agent supplémentaire est nécessaire pour prévenir une pneumonie à Pneumocystis jirovecii. Si la pyriméthamine n'est pas disponible ou n'est pas tolérée, le triméthoprime/sulfaméthoxazole peut être utilisé pour l'entretien.

D'autres options pour la thérapie d'entretien chronique incluent l'atovaquone. Le taux de rechute peut être plus élevé avec les alternatives à base d'atovaquone.

Traitement de la toxoplasmose oculaire

Le traitement de la toxoplasmose oculaire est basé sur les résultats d'une évaluation ophtalmologique complète (degré d'inflammation, acuité visuelle, taille, localisation et persistance de la lésion).

Le traitement est débuté par la sulfadiazine, la pyriméthamine et la leucovorine (1). Dans les cas graves et chez les patients nécessitant une thérapie locale supplémentaire, la clindamycine intravitréenne est une option thérapeutique. Une fois le traitement terminé, la prophylaxie à long terme par triméthoprime/sulfaméthoxazole est très efficace pour prévenir les récidives. Le patient qui a une toxoplasmose oculaire reçoit aussi fréquemment des corticostéroïdes pour réduire l'inflammation.

Le Centers for Disease Control and Prevention (CDC) recommande que le traitement de la toxoplasmose oculaire soit poursuivi pendant 4 à 6 semaines, suivi d'une réévaluation de l'état du patient (voir aussi CDC: Clinical Care of Toxoplasmosis).

Traitement des patientes enceintes

Le traitement de la femme enceinte ayant contracté une toxoplasmose aiguë peut réduire l'incidence de l'infection fœtale.

La spiramycine a été utilisée en toute sécurité pour réduire la transmission au fœtus chez les patientes enceintes présentant une toxoplasmose aiguë pendant les 18 premières semaines de grossesse, mais spiramycine est moins active que la pyriméthamine plus le sulfamide et ne traverse pas le placenta. La spiramycine est poursuivie jusqu'à ce que l'infection fœtale soit documentée ou exclue à 18 semaines de grossesse, lorsque le liquide amniotique est prélevé et testé par PCR. Si aucune transmission n'a été observée, la spiramycine peut être poursuivie jusqu'au terme de la grossesse.

Si le fœtus est infecté ou si une mère s"infecte après 18 semaines, la pyriméthamine plus la sulfadiazine plus la leucovorine sont utilisées. NOTE : Pyriméthamine est un produit tératogène puissant et ne doit pas être utilisée pendant le premier trimestre ou au début du deuxième trimestre. La spiramycine n'est pas disponible dans le commerce aux États-Unis mais est disponible auprès de l'U.S. Food and Drug Administration's Office of Infectious Diseases.

Une consultation avec un expert en maladies infectieuses est recommandée.

Traitement des nourrissons atteints de toxoplasmose congénitale

Les nourrissons atteints de toxoplasmose congénitale doivent être traités par pyriméthamine plus un sulfamide pendant 1 an. Le nourrisson reçoit également de la leucovorine, pendant le traitement par la pyriméthamine et pendant 1 semaine après l'arrêt de la pyriméthamine pour éviter une suppression de la moelle osseuse. Le National Reference Laboratory for Toxoplasmosis (PAMF-TSL) et le Toxoplasmosis Center de l'Université de Chicago recommandent la pyriméthamine plus la sulfadiazine plus la leucovorine pour le traitement des nourrissons congénitalement infectés (2).

Références pour le traitement

  1. 1. Durand ML, Barshak MB, Sobrin L. Eye Infections. N Engl J Med. 2023;389(25):2363-2375. doi:10.1056/NEJMra2216081

  2. 2. Maldonado YA, Read JS, Committee on Infectious Diseases. Diagnosis, treatment, and prevention of congenital toxoplasmosis in the United States. Pediatrics. 2017;139(2):e20163860. doi:10.1542/peds.2016-3860

Prévention de la toxoplasmose

Les patients à haut risque de maladie grave, incluant les femmes enceintes et les patients immunodéprimés, doivent être conseillés dès que possible sur les meilleures pratiques pour éviter l'infection (1):

  • Cuire toute viande à une température interne de 74° C ou plus, et utiliser un thermomètre à viande si possible.

  • Éviter les fruits de mer crus (palourdes, moules, huîtres), le lait de chèvre non pasteurisé, et la viande fumée, saumurée ou séchée car ces aliments peuvent encore contenir des kystes infectieux.

  • Éplucher ou laver soigneusement les fruits et légumes avant de les consommer.

  • Porter des gants lors de la manipulation de viande crue.

  • Laver les planches à découper, la vaisselle, les comptoirs, les ustensiles et les mains avec de l'eau chaude savonneuse après qu'ils aient été en contact avec de la viande crue, de la volaille, des fruits de mer ou des fruits ou légumes non lavés.

  • Éviter l'eau de puits non traitée, qui peut être contaminée par des excréments de chat.

  • Éviter le contact avec les excréments de chat, particulièrement la manipulation de litière pour chat ou lors du jardinage. Si changer la litière pour chat ou le contact avec le sol ne peut être évité, porter des gants jetables et se laver soigneusement les mains avec du savon et de l'eau tiède par la suite. 

  • Changer les bacs à litière quotidiennement car les oocystes de T. gondii deviennent infectieux 1 à 5 jours après avoir été éliminés dans les excréments de chat.

  • Garder les chats domestiques à l'intérieur et ne pas les nourrir avec de la viande crue ou insuffisamment cuite.

  • Ne pas manipuler ou adopter de chats errants pendant la grossesse.

Les donneurs potentiels d'organes ou de sang peuvent être dépistés pour prévenir la propagation de la toxoplasmose par les organes transplantés ou le sang donné.

La chimioprophylaxie primaire est recommandée chez les patients infectés par le VIH présentant un test sérologique IgG positif T. gondii si leur nombre de CD4 est < 100/mcL. Du triméthoprime/sulfaméthoxazole, qui est également préventif de Pneumocystis jirovecii, est généralement utilisé. Les alternatives dans le cas des patients qui ne tolèrent pas le triméthoprime-sulfaméthoxazole comprennent la dapsone plus la pyriméthamine et la leucovorine ou l'atovaquone avec ou sans pyriméthamine. La chimioprophylaxie est poursuivie jusqu'à ce que le nombre de cellules CD4 soit > 200/mcL.

Référence pour la prévention

  1. 1. Maldonado YA, Read JS; COMMITTEE ON INFECTIOUS DISEASES. Diagnosis, Treatment, and Prevention of Congenital Toxoplasmosis in the United States. Pediatrics. 2017;139(2):e20163860. doi:10.1542/peds.2016-3860

Points clés

  • T. gondii se reproduit sexuellement uniquement dans le tractus intestinal des chats; la plupart des infections humaines résultent d'un contact direct ou indirect avec des excréments de chat, mais ils peuvent être acquis par voie transplacentaire ou par ingestion de viande mal cuite contenant des kystes.

  • Environ 12% de la population des États-Unis a été infectée par T. gondii, mais la maladie symptomatique est rare et est principalement observée chez les fœtus infectés quand la mère contracte une infection aiguë pendant la grossesse et transmet l'infection par voie transplacentaire ou chez les sujets immunodéprimés par le VIH ou d'autres causes.

  • L'infection aiguë est généralement asymptomatique chez les patients immunocompétants, mais 10 à 20% des patients développent des manifestations similaires à celles de la mononucléose, y compris la lymphadénopathie.

  • Les patients immunodéprimés se présentent généralement avec une encéphalite et ont des lésions expansives intracrâniennes qui prennent le contraste en anneau à l'IRM ou à la TDM avec contraste.

  • Pour poser le diagnostic, utiliser des tests sérologiques (pour les anticorps d'IgG et d'IgM), un examen histopathologique ou la Polymerase Chain Reaction (PCR).

  • Le traitement est indiqué principalement chez les nouveau-nés infectés congénitalement, les femmes enceintes présentant une infection aiguë et les patients immunodéprimés.

  • Utiliser la pyriméthamine et la sulfadiazine plus la leucovorine ou, si le patient est allergique aux sulfamides ou si la sulfadiazine n'est pas tolérée, utiliser la pyriméthamine et la clindamycine.

  • La pyriméthamine est un tératogène puissant et ne doit pas être utilisée pendant le 1er et le début du 2e trimestre de la grossesse; la spiramycine est alors recommandée en cas d'infection maternelle.

  • La thérapie antirétrovirale doit être optimisée chez les patients qui ont une infection par le VIH avancée; le traitement suppressif est poursuivi jusqu'à ce que les patients soient asymptomatiques et que les numérations cellulaires CD4 soient > 200/mcL pendant > 6 mois.

quizzes_lightbulb_red
TESTEZ VOS CONNAISSANCESTake a Quiz!
ANDROID iOS
ANDROID iOS
ANDROID iOS