Pneumopathie d'hypersensibilité

(Alvéolite allergique extrinsèque)

ParJoyce Lee, MD, MAS, University of Colorado School of Medicine
Reviewed ByRichard K. Albert, MD, Department of Medicine, University of Colorado Denver - Anschutz Medical
Vérifié/Révisé Modifié juin 2025
v919823_fr
Voir l’éducation des patients

La pneumopathie d'hypersensibilité est un syndrome associant toux, dyspnée et fatigue provoqué par une sensibilisation et une hypersensibilité ultérieure aux antigènes environnementaux (fréquemment professionnels ou domestiques). Il existe des formes aiguë, subaiguë et chronique; toutes sont caractérisées par une inflammation interstitielle aiguë, le développement de granulomes mal formés et une fibrose en cas d'exposition à long terme. Le diagnostic repose sur l'association de l'anamnèse, de l'examen clinique, de l'imagerie médicale, du lavage bronchoalvéolaire et de la biopsie. Le traitement à court terme repose sur les glucocorticoïdes; le traitement à long terme consiste à éviter l'antigène et, en cas de fibrose, souvent à recourir à l'immunosuppression et/ou à la thérapie antifibrotique.

La pneumopathie d'hypersensibilité est un syndrome rare et complexe qui résulte de l'inhalation chronique de divers antigènes étrangers chez des individus génétiquement prédisposés. Bien qu'elle soit une cause fréquente de maladie pulmonaire interstitielle, sa prévalence globale reste faible, estimée à environ 1 à 2 cas pour 100 000 individus par an dans les pays riches en ressources (1). Les taux de prévalence peuvent être plus élevés dans des régions spécifiques ou parmi certains groupes professionnels, comme les agriculteurs ou les éleveurs d'oiseaux, bien que la prévalence globale au sein de ces populations à haut risque ne soit pas bien documentée. Les variations saisonnières sont également communes, certaines moisissures étant impliquées comme déclencheurs seulement par temps chaud et humide. Le tabagisme actif semble être associé à un risque diminué de développer une pneumopathie d'hypersensibilité (2).

Références générales

  1. 1. Fernández Pérez ER, Kong AM, Raimundo K, Koelsch TL, Kulkarni R, Cole AL. Epidemiology of Hypersensitivity Pneumonitis among an Insured Population in the United States: A Claims-based Cohort Analysis. Ann Am Thorac Soc 2018;15(4):460-469. doi:10.1513/AnnalsATS.201704-288OC

  2. 2. Solaymani-Dodaran M, West J, Smith C, Hubbard R. Extrinsic allergic alveolitis: incidence and mortality in the general population. QJM. 2007;100(4):233-237. doi:10.1093/qjmed/hcm008

Étiologie de la pneumopathie d'hypersensibilité

Tous les cas de pneumopathie d'hypersensibilité résultent d'une réactivité immunologique survenant après exposition à un antigène étranger, souvent chez des individus qui ont un certain degré de susceptibilité génétique. Plus de 300 antigènes ont été identifiés comme facteurs étiologiques de la pneumopathie d'hypersensibilité. Les antigènes que l'on rencontre dans les fermes, en cas de contact avec les oiseaux et dans l'eau contaminée représentent près de 75% des cas.

Les antigènes sont généralement classés par type et activité professionnelle (voir tableau Exemples de pneumopathies d'hypersensibilité); le poumon de fermier, dû à l'inhalation répétée de poussière de foin contenant des actinomycètes thermophiles, en est le prototype. Un chevauchement substantiel existe entre la pneumopathie d'hypersensibilité et la bronchite chronique chez les agriculteurs, chez qui la bronchite chronique est beaucoup plus fréquente: elle survient indépendamment du tabagisme, est liée à l'exposition à des actinomycètes thermophiles et induit des signes similaires à ceux de la pneumopathie d'hypersensibilité lors des tests diagnostiques.

Tableau
Tableau

Physiopathologie de la pneumopathie d'hypersensibilité

La pneumopathie d'hypersensibilité semble être une réaction d'hypersensibilité de type IV, au cours de laquelle l'exposition répétée à un antigène chez des personnes génétiquement prédisposées entraîne une inflammation aiguë ou subaiguë suivie d'une inflammation chronique et d'une fibrose. Initialement, dans la phase aiguë, une alvéolite neutrophilique et mononucléaire prédomine. Subséquemment, dans la phase subaiguë, une infiltration lymphocytaire interstitielle Th1 et Th17 et la formation et le dépôt de complexes immuns ciblent l'antigène étranger. Dans les cas plus chroniques, des réactions granulomateuses peuvent survenir en raison d'afflux de cellules CD4+ Th1 (similaire à la pathogenèse des granulomes sarcoïdes ou tuberculeux). Finalement, en cas d'exposition continue, l'invasion de fibroblastes peut induire une fibrose avec oblitération bronchiolaire. Le rôle principal de la réponse immunitaire semble être une tentative d'éliminer ou si infructueuse, d'isoler l'antigène incriminé. Certains polymorphismes génétiques, comme MUC5B, peuvent influencer le risque d'un patient de développer une pneumopathie d'hypersensibilité et contribuer à une morbidité accrue de la maladie (1).

Les précipitines IgG circulantes (anticorps spécifiques contre l'Ag) semblent ne pas avoir de rôle étiologique principal, et les antécédents cliniques d'allergie (tels que l'asthme et les allergies saisonnières) ne constituent pas un facteur prédisposant. Le tabagisme semble retarder ou éviter le développement, peut-être par un phénomène de régulation négative (" down-regulation ") de la réponse immunitaire du poumon aux antigènes inhalés. Cependant, le tabagisme peut aggraver la maladie une fois celle-ci établie.

La pneumopathie d'hypersensibilité a des similitudes cliniques avec d'autres maladies qui ont une physiopathologie différente.

  • Le syndrome des poussières organiques toxiques (mycotoxicose pulmonaire, fièvre des céréales), est un syndrome constitué de fièvre, frissons, myalgies et dyspnée, qui ne nécessite pas une sensibilisation préalable et est probablement provoqué par l'inhalation de toxines produites par des champignons ou d'autres germes de la poussière organique.

  • La maladie des ensileurs peut provoquer une insuffisance respiratoire aiguë et un syndrome de détresse respiratoire aigu (ARDS [acute respiratory distress syndrome]) et une bronchiolite oblitérante ou une bronchite, mais elle est déclenchée par l'inhalation d'oxyde d'azote toxique produit par le maïs fraîchement fermenté ou la luzerne ensilée.

  • L'asthme professionnel provoque une dyspnée chez des personnes antérieurement sensibilisées à un antigène inhalé, mais des signes tels qu'une obstruction du flux aérien, une éosinophilie des voies respiratoires, et un historique négatif de contact ou d'exposition et les différences résultantes dans les antigènes déclencheurs aident à la distinguer de la pneumopathie d'hypersensibilité.

Référence pour la physiopathologie

  1. 1. Ley B, Newton CA, Arnould I, et al. The MUC5B promoter polymorphism and telomere length in patients with chronic hypersensitivity pneumonitis: an observational cohort-control study. Lancet Respir Med 2017;5(8):639-647. doi:10.1016/S2213-2600(17)30216-3

Symptomatologie de la pneumopathie d'hypersensibilité

La symptomatologie a tendance à dépendre de la façon dont a débuté la maladie

  • Aiguë (jours)

  • Subaiguë (semaines)

  • Chronique (mois ou années)

Seule une faible proportion des personnes exposées présente des symptômes, et, dans la plupart des cas, uniquement après des semaines ou des mois d'exposition et de sensibilisation.

Pneumopathie d'hypersensibilité aiguë

La maladie aiguë est observée chez des personnes antérieurement sensibilisées qui présentent une exposition aiguë et importante à l'antigène et se manifeste par de la fièvre, des frissons, de la toux, une oppression thoracique (comme dans l'asthme) et une dyspnée 4 à 8 heures après l'exposition. Il peut y avoir également une anorexie, des nausées et des vomissements. L'examen clinique montre une tachypnée, des râles inspiratoires diffus de légers à moyens, et, dans presque tous les cas, une absence de wheezing. Les symptômes peuvent imiter ceux d'une pneumonie bactérienne aiguë.

Pneumopathie d'hypersensibilité subaiguë

La maladie subaiguë se manifeste soit par une toux, une dyspnée, une fatigue et une anorexie qui se développe sur des jours ou des semaines, soit par l'addition de signes aigus à des symptômes chroniques. Les sifflements peuvent d'abord commencer au stade subaigu.

Pneumopathie d'hypersensibilité chronique

La maladie chronique est observée en cas d'exposition à long terme et de faible niveau à l'antigène (tels que les propriétaires d'oiseaux). Sur des mois à des années, les patients peuvent présenter une dyspnée d'effort, une toux productive, de la fatigue et une perte de poids. Il y a peu de signes cliniques; il est rare d'observer un hippocratisme digital et la fièvre est absente. Bien que rare, dans les formes avancées de la maladie, la fibrose pulmonaire entraîne une symptomatologie d'insuffisance cardiaque droite et/ou d'insuffisance respiratoire.

Diagnostic de pneumopathie d'hypersensibilité

  • TDM à haute résolution

  • Épreuves fonctionnelles respiratoires

  • Tests sérologiques pour les immunoglobulines spécifiques de l'antigène

  • Lavage bronchoalvéolaire

  • Examen histologique

Le diagnostic de la pneumopathie d'hypersensibilité nécessite un haut degré de suspicion chez les patients présentant des symptômes compatibles et une anamnèse d'exposition compatible (professionnelle, liée aux loisirs ou domestique). Une pneumopathie d'hypersensibilité doit être évoquée en cas de pneumopathie interstitielle nouvellement identifiée (1, 2). Une TDM à haute résolution est réalisée pour identifier les signes radiographiques caractéristiques. Des tests de fonction pulmonaire peuvent également être réalisés pour évaluer le degré d'altération respiratoire. Des immunoglobulines (Ig) G ou IgA sériques spécifiques d'antigènes contre les antigènes suspectés peuvent être mesurées, mais leur utilité diagnostique est limitée et un résultat négatif n'exclut pas le diagnostic (1). Le lavage bronchoalvéolaire et/ou une biopsie pulmonaire peuvent être nécessaires si les résultats sont non concluants. Le diagnostic différentiel est large et comprend les maladies pulmonaires interstitielles liées à l'environnement, la sarcoïdose, la bronchiolite oblitérante, les pneumopathies associées aux maladies rhumatologiques systémiques et à d'autres pneumopathies interstitielles.

Les indices de l'anamnèse comprennent:

  • Pneumonies atypiques récurrentes

  • Apparition des symptômes après avoir changé d'emploi ou après un déménagement

  • Un bain chaud, un sauna, une piscine ou une exposition à d'autres sources d'eaux stagnantes, un problème d'eau, dans la maison ou une exposition régulière à ces mêmes eaux

  • Avoir des oiseaux comme animaux de compagnie

  • Travailler dans une ferme

  • Travailler dans certaines industries (p. ex., travail du bois; fabrication de fromage, de vin ou de pain; élevage; textiles)

  • Aggravation et soulagement des symptômes dans et en dehors de situations spécifiques

L'examen physique n'est pas souvent contributif dans l'établissement du diagnostic, bien que des sons pulmonaires anormaux (p. ex., sifflements inspiratoires, crépitants des bases) et un hippocratisme digital puissent être présents.

Imagerie

L'imagerie est typiquement effectuée en cas d'antécédents, de symptômes, et de signes d'examen évocateurs.

La radiographie de thorax n'est ni sensible ni spécifique pour la détection de la maladie et est fréquemment normale dans les formes aiguës et subaiguës. Elle peut révéler des opacités réticulaires ou nodulaires, habituellement lorsque des symptômes sont présents. Dans la forme chronique de la maladie, les radiographies de thorax sont plus susceptibles de montrer des opacités réticulaires ou nodulaires au niveau des lobes supérieurs associées à des volumes pulmonaires réduits et un aspect en rayon de miel, semblable à ceux de la fibrose pulmonaire idiopathique.

La TDM à haute résolution est la modalité d'imagerie préférée pour évaluer les changements parenchymateux dans la pneumopathie d'hypersensibilité, et est plus susceptible de montrer des anomalies que la TDM standard ou les radiographies (2).

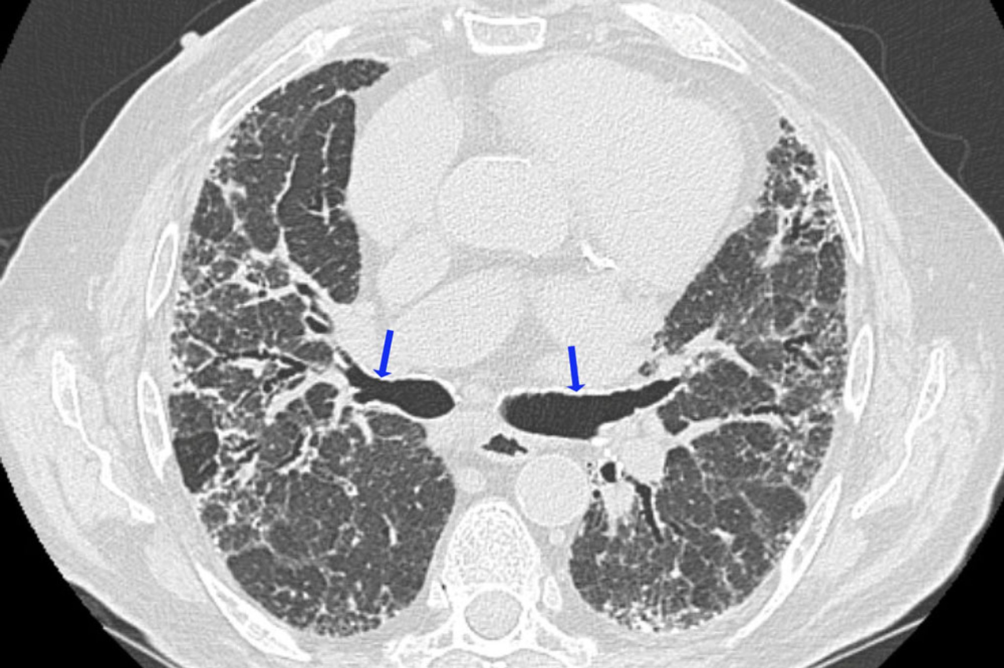
Dans la pneumopathie d'hypersensibilité aiguë et subaiguë, les signes à la TDM à haute résolution les plus typiques sont des micronodules centrolobulaires, mesurant généralement moins de 3 mm de diamètre, habituellement situés près des voies respiratoires centrales de ces lobules. Parfois, l'opacité en verre dépoli (atténuation) est prédominante ou est parfois le seul élément retrouvé. Elle est habituellement diffuse, mais, parfois, elle épargne la périphérie du lobule secondaire. Des zones focales d'hyperradiotransparence semblables à celles qui sont observées dans la bronchiolite oblitérante, peuvent constituer une caractéristique essentielle chez certains patients (p. ex., atténuation de type mosaïque avec trappage aérique expiratoire en TDM à haute résolution).

Dans la pneumopathie d'hypersensibilité chronique, il existe des signes de fibrose pulmonaire, qui incluent une perte de volume lobaire, des opacités linéaires ou réticulaires, un aspect en rayon de miel et des bronchectasies de traction. Des micronodules centrolobulaires, une opacification en verre dépoli et des zones d'hyperclarté peuvent survenir mais sont moins proéminentes. Certains non-fumeurs atteints d'une pneumopathie d'hypersensibilité chronique présentent des signes d'emphysème au niveau des lobes supérieurs. Les adénopathies médiastinales sont rares, ce qui permet de distinguer la pneumopathie d'hypersensibilité de la sarcoïdose.

Épreuves fonctionnelles respiratoires

Les explorations fonctionnelles respiratoires doivent être pratiquées et faire partie du bilan standard de toute suspicion de pneumopathie d'hypersensibilité. L'affection peut entraîner un syndrome obstructif, restrictif ou mixte. À un stade avancé, la maladie entraîne le plus souvent un syndrome restrictif (diminution des volumes pulmonaires), une diminution de la capacité de diffusion du monoxyde de carbone (DLCO) et une hypoxémie d'effort progressant vers une hypoxémie au repos. Un trouble ventilatoire obstructif est rare dans la forme aiguë, mais il peut se produire dans la forme chronique.

Lavage bronchoalvéolaire

Le lavage bronchoalvéolaire est rarement spécifique du diagnostic de pneumopathie d'hypersensibilité, mais est souvent un élément diagnostique en cas de symptômes respiratoires chroniques et de troubles fonctionnels respiratoires. Une lymphocytose au lavage bronchoalvéolaire (> 40%) avec ratio CD4+/CD8+ < 1,0 (le ratio normal ± erreur standard de la moyenne = 2,3 ± 0,2) est caractéristique de la maladie (3); en revanche, une lymphocytose avec prédominance de CD4+ (ratio > 1,0) est plus caractéristique de la sarcoïdose. On peut observer d'autres anomalies, des mastocytes > 1% (après une exposition aiguë) et une augmentation des neutrophiles et des éosinophiles. L'âge avancé et le tabagisme sont associés à des numérations lymphocytaires plus faibles (parfois faussement basses) dans le liquide de lavage (2).

Biopsie pulmonaire

Une biopsie pulmonaire chirurgicale est indiquée lorsque les examens non invasifs ne sont pas concluants. Les signes varient mais comprennent typiquement une métaplasie péri-bronchiolaire, des granulomes non nécrosants et peu formés et une pneumopathie organisée. Une fibrose interstitielle peut être présente dans les cas chroniques.

Autres examens

Des examens supplémentaires sont indiqués lorsqu'il est nécessaire d'obtenir des données complémentaires en vue du diagnostic ou pour détecter d'autres causes de maladie pulmonaire interstitielle. La détection d'IgG/IgA sériques spécifiques d'antigènes, parfois aussi appelées précipitines, peut être suggestive d'une exposition associée à la maladie. Cependant, la présence de précipitines circulantes n'est ni sensible ni spécifique. L'identification d'un antigène précipitant spécifique peut nécessiter une analyse aérobiologique et/ou microbiologique détaillée du lieu de travail par des spécialistes en hygiène industrielle, mais les évaluations du lieu de travail sont habituellement orientées par des sources connues d'antigènes causaux (p. ex., Bacillus subtilis dans les usines de détergents).

Les tests cutanés allergologiques ne sont pas utiles et l'éosinophilie périphérique est typiquement absente.

Les examens de détection d'autres troubles comprennent les sérologies et les mises en culture (pour la psittacose et autres pneumonies) et le dosage des auto-anticorps (pour les maladies rhumatologiques systémiques). Une éosinophilie peut évoquer une pneumopathie chronique à éosinophiles. Une hypertrophie des ganglions hilaires et paratrachéaux est plus caractéristique de la sarcoïdose.

Références pour le diagnostic

  1. 1. Fernández Pérez ER, Travis WD, Lynch DA, et al. Diagnosis and Evaluation of Hypersensitivity Pneumonitis: CHEST Guideline and Expert Panel Report. Chest 2021;160(2):e97-e156. doi:10.1016/j.chest.2021.03.066

  2. 2. Raghu G, Remy-Jardin M, Ryerson CJ, et al: Diagnosis of hypersensitivity pneumonitis in adults. An Official ATS/JRS/ALAT Clinical Practice Guideline. Am J Respir Crit Care Med 202(3):e36–e69, 2020. doi: 10.1164/rccm.202005-2032ST

  3. 3. Walsh SL, Sverzellati N, Devaraj A, Wells AU, Hansell DM. Chronic hypersensitivity pneumonitis: high resolution computed tomography patterns and pulmonary function indices as prognostic determinants. Eur Radiol. 2012;22(8):1672-1679. doi:10.1007/s00330-012-2427-0

Traitement de la pneumopathie d'hypersensibilité

  • Identification et atténuation des antigènes

  • glucocorticoïdes

  • Parfois traitement antifibrotique

Le traitement de la pneumopathie d'hypersensibilité aiguë ou subaiguë repose sur les glucocorticoïdes, habituellement la prednisone à dose élevée pendant 1 à 2 semaines, qui est ensuite diminuée au cours des semaines suivantes jusqu'à l'arrêt du médicament. Ce traitement soulage les premiers symptômes, mais ne semble pas modifier l'évolution de la maladie à long terme.

Le traitement de la pneumopathie d'hypersensibilité chronique consiste généralement en des cycles plus longs de prednisone à faible dose d'entretien, avec une diminution progressive en fonction de la réponse clinique. Certains patients ont besoin d'agents d'épargne des corticostéroïdes (p. ex., mycophénolate mofétil, azathioprine) en cas de traitement à long terme.

Chez les patients qui ont une fibrose progressive malgré un traitement immunosuppresseur, un traitement antifibrotique peut être envisagé. Le nintédanib, un inhibiteur de tyrosine kinase, semble ralentir le taux de déclin de la fonction pulmonaire chez les patients atteints de fibrose pulmonaire progressive, y compris ceux atteints de pneumopathie d'hypersensibilité chronique (1). La pirfénidone, un autre médicament antifibrotique, est parfois utilisée comme alternative si le nintédanib n'est pas toléré. Elle a été moins bien étudiée dans la pneumopathie d'hypersensibilité, mais peut également ralentir la progression de la maladie pulmonaire (2).

Références pour le traitement

  1. 1. Flaherty KR, Wells AU, Cottin V, et al.Nintedanib in Progressive Fibrosing Interstitial Lung Diseases. N Engl J Med 2019;381(18):1718-1727. doi:10.1056/NEJMoa1908681

  2. 2. Behr J, Prasse A, Kreuter M, et al. Pirfenidone in patients with progressive fibrotic interstitial lung diseases other than idiopathic pulmonary fibrosis (RELIEF): a double-blind, randomised, placebo-controlled, phase 2b trial. Lancet Respir Med 2021;9(5):476-486. doi:10.1016/S2213-2600(20)30554-3

Pronostic de la pneumopathie d'hypersensibilité

Les modifications pathologiques de la pneumopathie d'hypersensibilité aiguë sont complètement réversibles si elles sont dépistées tôt et si l'exposition à l'antigène est supprimée. L'éviction de l'antigène limite la maladie dans sa phase aiguë; les symptômes diminuent habituellement en quelques heures. Les formes non fibrotiques de pneumopathie d'hypersensibilité subaiguë ont généralement un pronostic favorable si l'antigène déclencheur est identifié et l'exposition évitée. Le pronostic est moins favorable pour les patients atteints de pneumopathie d'hypersensibilité fibrotique. Dans la maladie chronique, la fibrose est habituellement irréversible et peut progresser même si le patient n'est plus exposé à l'antigène.

Prévention de la pneumopathie d'hypersensibilité

L'aspect le plus important de la prise en charge à long terme de la pneumopathie d'hypersensibilité est d'éviter l'exposition aux antigènes. Une modification complète de l'environnement est rarement réaliste, en particulier pour les fermiers et les autres travailleurs, dans ce cas les mesures visant à la maîtrise de l'importance de l'exposition à la poussière (telles que le mouillage du compost avant sa manipulation), les filtres à air ou les masques protecteurs, peuvent être efficaces. Les fongicides peuvent être utilisés pour prévenir la croissance de microrganismes antigéniques (p. ex., dans le foin ou sur la canne à sucre), mais l'innocuité à long terme de cette approche n'est pas prouvée. Le nettoyage intensif des systèmes de ventilation humides, la suppression des tapis humides et le maintien d'une hygrométrie faible par des déshumidificateurs ont également prouvé leur efficacité dans quelques cas. Cependant, il faut informer les patients que ces mesures peuvent être inadaptées si l'exposition continue.

Points clés

  • La pneumopathie d'hypersensibilité est une réaction d'hypersensibilité de type IV qui peut être déclenchée par une grande variété d'allergènes.

  • Chez le patient à risque et qui a des symptômes compatibles, recueillir une anamnèse complète de l'exposition professionnelle, au cours de loisirs, et domestique.

  • Effectuer une TDM à haute résolution et des épreuves fonctionnelles respiratoires et, si le diagnostic est incertain, éventuellement un lavage broncho-alvéolaire et des tests sérologiques de précipitines.

  • Traiter la plupart des patients par la prednisone par voie orale.

  • Les cas évolués peuvent répondre aux agents antifibrotiques.

quizzes_lightbulb_red
TESTEZ VOS CONNAISSANCESTake a Quiz!
ANDROID iOS
ANDROID iOS
ANDROID iOS