Synovial Chondromatosis
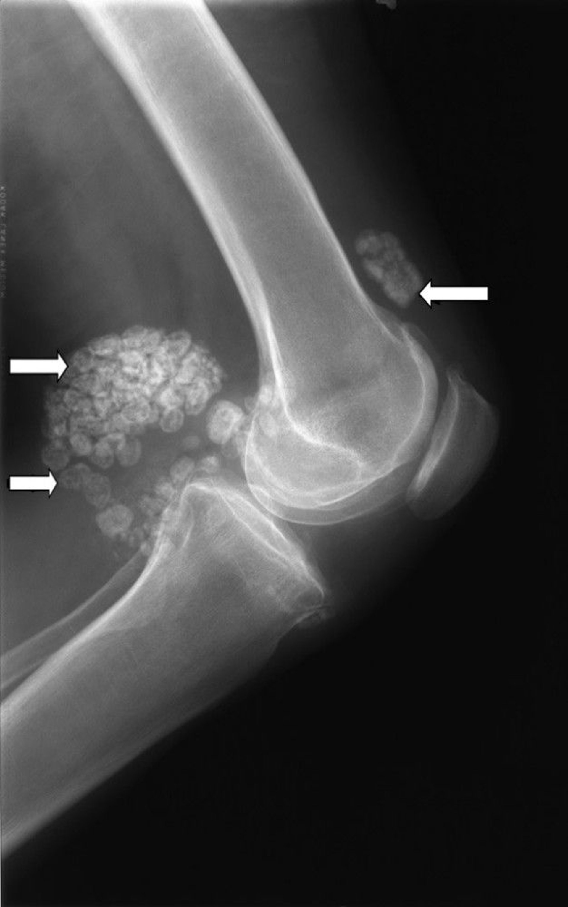
This x-ray of the knee shows multiple clumps of cartilage (arrows) known as synovial chondromatosis.
Image courtesy of Michael J. Joyce, MD, and Hakan Ilaslan, MD.
In these topics
This x-ray of the knee shows multiple clumps of cartilage (arrows) known as synovial chondromatosis.
Image courtesy of Michael J. Joyce, MD, and Hakan Ilaslan, MD.