El sarampión es una infección viral muy contagiosa que es más común entre niños que viven en áreas sin vacunación generalizada. Se manifiesta con fiebre, tos, coriza, conjuntivitis, un enantema característico (manchas de Koplik) en la mucosa oral y exantema maculopapuloso que se disemina en dirección cefalocaudal. Las complicaciones, sobre todo la neumonía o la encefalitis, pueden ser letales, sobre todo en poblaciones de pacientes con recursos sanitarios insuficientes. El diagnóstico suele ser clínico con confirmación mediante pruebas de reacción en cadena de la polimerasa. El tratamiento es sintomático; se administra vitamina A a los niños. La vacunación resulta eficaz para la prevención.
En todo el mundo, el sarampión infecta a alrededor de 10 millones de personas y causa aproximadamente 100.000 muertes cada año, sobre todo en niños (1, 2, 3). La incidencia de infección y la tasa de mortalidad son significativamente más altas en poblaciones con bajas tasas de vacunación contra el sarampión. Los niños pequeños, las embarazadas, las personas desnutridas y las inmunocomprometidas tienen mayor riesgo de complicaciones asociadas con el sarampión.
El sarampión ha sido poco común en los Estados Unidos debido a la vacunación infantil de rutina, y el sarampión endémico fue declarado erradicado en los Estados Unidos en 2000. Entre 2000 y 2010 se informó un promedio de 71 casos/año a los Centers for Disease Control and Prevention (CDC, Centros para el Control y la Prevención de Enfermedades) (4).
En 2019, la incidencia anual en Estados Unidos aumentó a 1274 casos, el número más alto reportado desde 1992 (4). Ese aumento se debió principalmente a la propagación entre las personas no vacunadas. En 2020, durante la pandemia global de COVID-19, solo se informaron 13 casos de sarampión en Estados Unidos. De 2020 a 2023, se informun total de 242 casos confirmados, y en 2024, 285 casos (4).
En 2025 (hasta el 22 de mayo), se han informado 1046 casos confirmados y 3 muertes en los Estados Unidos. Han ocurrido 14 brotes (definidos como ≥ 3 casos relacionados) y el 92% de los casos confirmados (961 de 1046) han estado asociados a brotes (4). Con fines comparativos, en 2024, se informaron 16 brotes y el 69% de los casos (198 de 285) estuvieron asociados a brotes.
El aumento de la incidencia y el número de brotes de sarampión está asociado con la disminución de las tasas de vacunación, impulsada por varios factores, incluyendo la reticencia a las vacunas y las interrupciones en los programas de vacunación (4, 5). En Estados Unidos, la negativa a la vacunación de los hijos por parte de los padres se ha vuelto más frecuente, y la disminución de las tasas de vacunación ha dado lugar a un aumento de las tasas de enfermedades prevenibles mediante vacunación en los niños. La cobertura de vacunación entre los niños de jardín de infantes en los Estados Unidos disminuyó del 95,2% en el año escolar 2019-2020 al 92,7% en el año escolar 2023-2024 (4). El umbral de inmunidad de rebaño (la proporción de una población con inmunidad a una enfermedad infecciosa a través de inmunidad innata, vacunación o infección previa que se requiere para prevenir la transmisión de la enfermedad) para el sarampión en los Estados Unidos se estima entre 92 y 95% (6, 7).
Referencias generales
1. World Health Organization: The Global Health Observatory; Measles - number of reported cases. Accessed May 9, 2025.
2. World Health Organization: Facts Sheet; Measles. Accessed May 9, 2025.
3. Minta AA, Ferrari M, Antoni S, et al. Progress Toward Measles Elimination - Worldwide, 2000-2023. MMWR Morb Mortal Wkly Rep. 2024;73(45):1036-1042. Published 2024 Nov 14. doi:10.15585/mmwr.mm7345a4
4. Centers for Disease Control and Prevention (CDC): Measles Cases and Outbreaks. Accessed May 9, 2025.
5. Zucker JR, Rosen JB, Iwamoto M, et al. Consequences of Undervaccination - Measles Outbreak, New York City, 2018-2019. N Engl J Med. 2020;382(11):1009-1017. doi:10.1056/NEJMoa1912514
6. Measles vaccines: WHO position paper – April 2017. Note de synthèse de l’OMS sur les vaccins contre la rougeole – avril 2017. Wkly Epidemiol Rec. 2017;92(17):205-227. Published 2017 Apr 28.
7. Funk S, Knapp JK, Lebo E, et al. Combining serological and contact data to derive target immunity levels for achieving and maintaining measles elimination. BMC Med. 2019;17(1):180. Published 2019 Sep 25. doi:10.1186/s12916-019-1413-7
Fisiopatología del sarampión
El sarampión se debe a la infección por un paramixovirus que produce enfermedad en los seres humanos sin contar con un reservorio animal documentado o un portador asintomático. Es muy contagiosa y la tasa de ataque secundario es > 90% en individuos susceptibles expuestos al virus (1). Es uno de los virus humanos más contagiosos conocidos (2).
El sarampión se transmite principalmente durante la etapa prodrómica o eruptiva temprana de la erupción. La transmisión típica se produce a través de gotas respiratorias que se eliminan durante la tos y permanecen en el aire un período breve mientras recorren un trayecto corto. La enfermedad también puede diseminarse a través de pequeñas gotas aerosolizadas que pueden mantenerse en el aire (e inhalarse) durante hasta 2 horas en áreas cerradas (p. ej., en un consultorio). La transmisión por fómites puede ser posible pero es menos importante clínicamente que la transmisión aérea porque se cree que el virus del sarampión sólo sobrevive un período muy breve sobre superficies secas (3).
Los viajes internacionales o domésticos a áreas donde el sarampión es endémico o donde hay un brote activo es un factor de riesgo para la transmisión del sarampión.
El periodo de contagio comienza 4 días antes y continúa hasta 4 días después de la aparición del exantema. Los pacientes inmunocomprometidos pueden tener secreción prolongada del virus del sarampión en su tracto respiratorio.
Referencias de fisiopatología
1. Centers for Disease Control and Prevention (CDC): Yellow Book: Health Information for International Travel. Measles (Rubeola). 2026.
2. Strebel PM, Orenstein WA. Measles. N Engl J Med. 2019;381(4):349-357. doi:10.1056/NEJMcp1905181
3. Bischoff WE, McNall RJ, Blevins MW, et al. Detection of Measles Virus RNA in Air and Surface Specimens in a Hospital Setting. J Infect Dis. 2016;213(4):600-603. doi:10.1093/infdis/jiv465
Signos y síntomas del sarampión
El curso típico de una infección por sarampión es el siguiente (el número de días es aproximado y la duración puede variar) (1, 2):
Exposición
Período de incubación: 7 a 21 días (promedio 11 a 12 días) desde la exposición hasta el inicio de la fiebre
Pródromo: 3 a 7 días desde el inicio de los síntomas hasta que aparece la erupción
Manchas de Koplik (enantema): aparecen aproximadamente 2 días antes y persisten por 1 a 2 días después del inicio de la erupción
Erupción (exantema): la erupción está presente por 4 a 7 días y luego comienza a desvanecer rápidamente.
Recuperación (los síntomas y la erupción se resuelven): 7 días después del inicio de la erupción en casos no complicados
Período infeccioso: los pacientes infectados contagian desde 4 días antes hasta 4 días después del inicio de la erupción.
Después de la exposición y de un período de incubación promedio de 11 a 12 días (rango 7 a 20 días [3]), el sarampión comienza con un pródromo de fiebre, rinitis, tos seca y conjuntivitis tarsal.
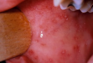
Las manchas de Koplik de la mucosa bucal se asemejan a granos de arena blanca rodeados de areolas rojas. Estos enantemas son patognomónicos y aparecen en el 70% de los pacientes (2). Las manchas de Koplik aparecen durante el pródromo antes del inicio del exantema, en general en la mucosa oral opuesta al primer y segundo molares superiores. Estas manchas pueden ser extensas y producir un eritema moteado difuso en la mucosa oral.
Las manchas de Koplik se describen clásicamente como máculas rojas brillantes con centros blancos o azul-blanquecino que se parecen granos de arena. Pueden aparecer en cualquier lugar de la boca, en general preceden al exantema y son patognomónicas del sarampión.
Las manchas de Koplik se describen clásicamente como máculas rojas brillantes con centros blancos o azul-blanquecino qu
Images courtesy of the Public Health Image Library of the Centers for Disease Control and Prevention.
Las manchas de Koplik se describen clásicamente como máculas rojas brillantes con centros blancos o azul-blanquecino que se parecen granos de arena. Pueden aparecer en cualquier lugar de la boca, en general preceden al exantema y son patognomónicas del sarampión.
Las manchas de Koplik se describen clásicamente como máculas rojas brillantes con centros blancos o azul-blanquecino qu
DR P. MARAZZI/SCIENCE PHOTO LIBRARY
Las manchas de Koplik se describen clásicamente como máculas rojas brillantes con centros blancos o azul-blanquecino que se parecen granos de arena. Pueden aparecer en cualquier lugar de la boca, en general preceden al exantema y son patognomónicas del sarampión.
Las manchas de Koplik se describen clásicamente como máculas rojas brillantes con centros blancos o azul-blanquecino qu
DR P. MARAZZI/SCIENCE PHOTO LIBRARY
El exantema aparece aproximadamente entre 3 y 7 días después del establecimiento de los síntomas prodrómicos, en general 1 o 2 días después de la aparición de las manchas de Koplik. Comienza en la cara, delante y debajo de las orejas, y en las caras laterales del cuello, en forma de máculas irregulares, que en poco tiempo se mezclan con pápulas. La erupción es eritematosa pero puede aparecer más oscura en pacientes con piel oscura. En 24 a 48 horas, las lesiones aparecen en el tronco y los miembros (incluidas las palmas y las plantas) y empiezan a disminuir en la cara. Puede ocurrir descamación después de que la erupción facial se desvanece. En casos graves, pueden aparecer petequias o equimosis.
El sarampión se manifiesta como un exantema maculopapular difuso que confluye y se disemina en un patrón cefalocaudal.
El sarampión se manifiesta como un exantema maculopapular difuso que confluye y se disemina en un patrón cefalocaudal.
Image courtesy of the Public Health Image Library of the Centers for Disease Control and Prevention.
El sarampión se manifiesta como un exantema maculopapular difuso que confluye y se disemina en un patrón cefalocaudal.
El sarampión se manifiesta como un exantema maculopapular difuso que confluye y se disemina en un patrón cefalocaudal.
SCIENCE PHOTO LIBRARY
El sarampión se manifiesta como un exantema maculopapular difuso que confluye y se disemina en un patrón cefalocaudal.
El sarampión se manifiesta como un exantema maculopapular difuso que confluye y se disemina en un patrón cefalocaudal.
CDC/ Betty G. Partin
Durante la gravedad máxima de la enfermedad, un paciente puede tener fiebre alta, a veces superior a 40° C, con edema periorbital, conjuntivitis, fotofobia, tos seca, erupción extensa y postración. Los signos y síntomas generales reflejan la gravedad de la erupción.
En forma típica, la erupción comienza a desvanecerse con rapidez aproximadamente 4 a 7 días después de que aparece, dejando un cambio de colorac marrón cobriza o hiperpigmentada, seguida de descamación después de que la erupción se desvanece. Aproximadamente al mismo tiempo, la fiebre disminuye y el paciente se siente más cómodo.
Los pacientes infectados contagian desde 4 días antes hasta 4 días después del inicio del sarpullido.
Los pacientes inmunodeficientes pueden no presentar exantema y, en cambio, pueden desarrollar una neumonía de células gigantes grave y progresiva.
Complicaciones del sarampión
Las complicaciones del sarampión incluyen las siguientes:
Sobreinfección bacteriana, incluyendo otitis media, neumonía
Amnesia inmunitaria
Hepatitis transitoria
Encefalitis
Púrpura trombocitopénica aguda
Panencefalitis esclerosante subaguda
En países de altos recursos, las tasas de complicaciones del sarampión incluyen otitis media (7 a 9%), neumonía (1 a 6%), diarrea (8%), encefalitis posinfecciosa (aproximadamente 1/1000), y muerte (aproximadamente 1/1000) (2). La panencefalitis esclerosante subaguda es una complicación tardía que ocurre en aproximadamente 1/10.000 pacientes con infección previa por sarampión. Las tasas de complicaciones son más altas en niños pequeños y en pacientes embarazadas, desnutridas o inmunocomprometidas. El sarampión suprime transitoriamente la inmunidad mediada por células, lo que ocasiona amnesia inmunitaria y aumenta el riesgo de infecciones durante meses a años.
Las sobreinfecciones bacterianas incluyen neumonía, laringotraqueobronquitis y otitis media. La sobreinfección bacteriana se sospecha si se encuentran signos localizados acordes o ante la recidiva de la fiebre, la leucocitosis o la debilidad.
La neumonía causada por la infección por el virus del sarampión ocurre hasta en el 6% de los pacientes, incluso durante una infección aparentemente no complicada (2). En los casos letales de sarampión en lactantes, la neumonía suele ser la causa de la muerte.
La inmunodepresión inducida por sarampión puede empeorar la tuberculosis activa e impedir temporalmente la reacción a antígenos de tuberculina e histoplasmina en pruebas cutáneas.
Durante una infección aguda, puede aparecer una hepatitis transitoria y diarrea.
La encefalitis postinfecciosa se detecta en 1/1.000 niños, en general entre 2 días y 2 semanas después del comienzo del exantema (4). Suele manifestarse con fiebre elevada, cefalea, convulsiones y coma (2). En general, el líquido cefalorraquídeo presenta un recuento linfocitario de entre 50 y 500/mcL e hiperproteinorraquia leve, aunque puede ser normal al comienzo de la enfermedad. La encefalitis puede resolverse en 1 semana o persistir durante más tiempo y causar complicaciones o la muerte.
La púrpura trombocitopénica aguda puede aparecer tras la resolución de la infección y se caracteriza por una tendencia hemorrágica leve autolimitada; en ocasiones, el sangrado puede ser grave.
La panencefalitis esclerosante subaguda (PEES) es una complicación tardía infrecuente, progresiva y mortal del sarampión. La PEES es una enfermedad degenerativa que puede manifestarse hasta 7 a 10 (o más) años después de la infección por sarampión y que en forma típica es letal dentro de los siguientes años del inicio de los síntomas. El riesgo de PEES es mucho mayor en niños originalmente infectados por sarampión antes de los 5 años (1:1300 casos), y en particular en niños infectados de menos de 12 meses (1:600 casos) (5).
El síndrome de sarampión atípico es una complicación que se desarrolló en personas que fueron vacunadas con las vacunas originales de virus inactivado contra el sarampión que se utilizaron en los Estados Unidos desde 1963 hasta 1967 y hasta principios de la década de 1970 en algunos otros países (6). Estas vacunas más antiguas alteraron la expresión de la enfermedad en algunos pacientes protegidos en forma incompleta y que se infectaron con la cepa salvaje de sarampión. Las manifestaciones del sarampión se desarrollaron de forma más repentina y la afectación pulmonar significativa fue más frecuente (7). Los casos confirmados han sido extremadamente raros desde la década de 1980 (8). El sarampión atípico se destaca sobre todo porque los pacientes que recibieron una vacuna contra el sarampión durante ese período pueden informar antecedentes tanto de vacunación contra el sarampión como de infección por sarampión.
Referencias de los signos y síntomas
1. Centers for Disease Control and Prevention (CDC): Yellow Book: Health Information for International Travel. Measles (Rubeola). 2026.
2. Strebel PM, Orenstein WA. Measles. N Engl J Med. 2019;381(4):349-357. doi:10.1056/NEJMcp1905181
3. Tanaka H, Takahashi Y, Matsumoto S, et al. Shorter incubation period in symptomatic measles patients who had no history of measles vaccination. Vaccine. 2025;45:126652. doi:10.1016/j.vaccine.2024.126652
4. CDC: Clinical Overview of Measles. Accessed May 5, 2025.
5. Wendorf KA, Winter K, Zipprich J, et al. Subacute Sclerosing Panencephalitis: The Devastating Measles Complication That Might Be More Common Than Previously Estimated. Clin Infect Dis. 2017;65(2):226-232. doi:10.1093/cid/cix302
6. CDC: Measles prevention. MMWR Suppl. 1989;38(9):1–18.
7. Annunziato D, Kaplan MH, Hall WW, et al. Atypical measles syndrome: pathologic and serologic findings. Pediatrics. 1982;70(2):203-209.
8. Melenotte C, Cassir N, Tessonnier L, Brouqui P. Atypical measles syndrome in adults: still around. BMJ Case Rep. 2015;2015:bcr2015211054. Published 2015 Sep 23. doi:10.1136/bcr-2015-211054
Diagnóstico del sarampión
Anamnesis y examen físico
Detección del virus por cultivo tisular o transcripción inversa-PCR (polymerase chain reaction) (RT-PCR)
Pruebas serológicas
El sarampión puede sospecharse inicialmente en un paciente expuesto que presenta rinitis, conjuntivitis, fotofobia y tos. Los médicos deben mantener un alto nivel de sospecha clínica cuando el sarpullido aparece en pacientes no vacunados o incompletamente vacunados con historial de viaje o exposición conocida.
El diagnóstico se basa en el hallazgo de manchas de Koplik, que son patognomónicas, o un sarpullido característico en un paciente no inmune con exposición conocida o sospechada.
Se debe realizar confirmación de laboratorio. Se realiza un hisopado nasofaríngeo o de garganta para pruebas de RT-PCR; también se recolecta una muestra de orina para pruebas de RT-PCR, si es factible (1, 2). Se extrae una muestra de sangre para serología. El aumento de las concentraciones de anticuerpos IgG entre el suero de la fase aguda y el de la fase de convalecencia confirma el diagnóstico, pero la obtención de esta información posterga el diagnóstico. Los niveles de IgM indican infección aguda (o reciente) pero pueden no ser detectables hasta 3 días después del inicio y pueden estar ausentes o transitoriamente presentes en personas que han sido previamente vacunadas (3). Todos los casos sospechosos de sarampión deben informarse al departamento de salud local, incluso antes de la confirmación de laboratorio. (Véase también CDC: MMRV Testing for Clinicians para obtener información actualizada sobre pruebas para diagnosticar la enfermedad aguda por sarampión y la inmunidad al sarampión).
Un hemograma completo puede mostrar linfopenia y trombocitopenia, pero no es necesario para el diagnóstico de sarampión.
El diagnóstico diferencial incluye rubéola, escarlatina, exantema farmacológico, enfermedad del suero (véase tabla Algunas causas de urticaria), roséola infantil, mononucleosis infecciosa, eritema infeccioso, enfermedades transmitidas por garrapatas, enfermedad de Kawasaki e infecciones por echovirus y coxsackievirus (véase tabla Algunos virus respiratorios). Los signos y los síntomas de presentación pueden causar confusión diagnóstica en áreas donde el sarampión es muy raro.
Algunas de estas entidades pueden distinguirse del sarampión típico por las siguientes características:
Rubéola: no produce un cuadro prodrómico evidente, fiebre ni otros síntomas generales que, si se presentan, son menos graves. Los ganglios linfáticos retroauriculares y suboccipitales están aumentados de tamaño (y, en general, son dolorosos) y la duración de la enfermedad es breve.
Exantema farmacológico: una erupción causada por hipersensibilidad a medicamentos suele asemejarse al exantema por sarampión, pero sin prodromo, progresión cefalocaudal ni tos y en general con antecedentes de exposición reciente a un fármaco.
Roséola de la lactancia: el exantema se parece al del sarampión, pero rara vez se ve en niños > 3 años. La temperatura inicial suele ser elevada, las manchas de Koplik y el malestar general están ausentes y la defervescencia y el exantema son simultáneos.
Referencias del diagnóstico
1. Centers for Disease Control and Prevention (CDC): Clinical Overview of Measles. Accessed May 5, 2025.
2. Hübschen JM, Gouandjika-Vasilache I, Dina J. Measles. Lancet. 2022;399(10325):678-690. doi:10.1016/S0140-6736(21)02004-3
3. CDC: Laboratory Testing for Measles. Accessed May 16, 2025.
Tratamiento del sarampión
Tratamiento de sostén
En los niños, vitamina A
Si hay sobreinfección bacteriana, antibióticos
El tratamiento del sarampión es sintomático, incluso en presencia de encefalitis.
Los pacientes con sospecha de sarampión deben ser aislados de inmediato (1). Pacientes que por lo demás están sanos y pueden ser aislados y controlados como pacientes ambulatorios.
Los pacientes hospitalizados con sarampión deben tratarse con las precauciones estándar, de contacto y de transmisión aérea. Se recomiendan habitaciones individuales para el aislamiento de la infección de transmisión aérea y respiradores N-95 o equipo de protección personal similar.
Se ha demostrado que el suplemento de vitamina A reduce la morbilidad y la mortalidad por sarampión en niños de áreas con servicios médicos insuficientes. Dado que las bajas concentraciones séricas de vitamina A están asociadas con una enfermedad grave debida al sarampión, se recomienda el tratamiento con vitamina A para todos los niños con sarampión (2, 3). Debe administrarse la dosis adecuada por vía oral 1 vez al día durante 2 días, que depende de la edad del niño:
≥ 12 meses: 200.000 unidades internacionales (UI)
6 a 11 meses: 100.000 UI
< 6 meses: 50.000 UI
En niños con signos clínicos de deficiencia de vitamina A (p. ej., visión nocturna reducida, xeroftalmia y ojos secos, piel y membranas mucosas secas o queratinizadas, deterioro de la inmunidad, anomalías del crecimiento en niños pequeños), se repite una dosis única adicional de vitamina A específica para la edad entre 2 y 4 semanas después.
Los antibióticos se administran según corresponda si se diagnostica una sobreinfección bacteriana.
Referencias del tratamiento
1. Centers for Disease Control and Prevention (CDC): Expanding Measles Outbreak in the United States and Guidance for the Upcoming Travel Season. Recommendations for Healthcare Professionals. Accessed May 14, 2025.
2. World Health Organization. (2020). Guide for clinical case management and infection prevention and control during a measles outbreak. 2020.
3. CDC: Yellow Book: Health Information for International Travel. Measles (Rubeola). 2026.
Pronóstico para el sarampión
En Estados Unidos, la mortalidad de los pacientes con sarampión es de aproximadamente 1 a 3 por cada 1000 niños; es significativamente mayor (2 a 3%) en regiones con servicios médicos insuficientes (1, 2) y representa aproximadamente el 1% de todo el mundo (3, 4).
La infección en lactantes, la falta de acceso a la atención médica, la desnutrición grave, la deficiencia de vitamina A, y la neumonía como complicación se asocian con mayor riesgo de mortalidad (5, 6).
Véase también Complicaciones del sarampión.
Referencias del pronóstico
1. Gindler J, Tinker S, Markowitz L, Atkinson W, Dales L, Papania MJ. Acute measles mortality in the United States, 1987-2002. J Infect Dis. 2004;189 Suppl 1:S69-S77. doi:10.1086/378565
2. Lee B, Ying M, Papania MJ, Stevenson J, Seward JF, Hutchins SS. Measles hospitalizations, United States, 1985-2002. J Infect Dis. 2004;189 Suppl 1:S210-S215. doi:10.1086/381555
3. Minta AA, Ferrari M, Antoni S, et al. Progress Toward Measles Elimination - Worldwide, 2000-2023. MMWR Morb Mortal Wkly Rep. 2024;73(45):1036-1042. Published 2024 Nov 14. doi:10.15585/mmwr.mm7345a4
4. Sbarra AN, Mosser JF, Jit M, et al. Estimating national-level measles case-fatality ratios in low-income and middle-income countries: an updated systematic review and modelling study. Lancet Glob Health. 2023;11(4):e516-e524. doi:10.1016/S2214-109X(23)00043-8
5. Strebel PM, Orenstein WA. Measles. N Engl J Med. 2019;381(4):349-357. doi:10.1056/NEJMcp1905181
6. Donadel M, Stanescu A, Pistol A, et al. Risk factors for measles deaths among children during a Nationwide measles outbreak - Romania, 2016-2018. BMC Infect Dis. 2021;21(1):279. Published 2021 Mar 19. doi:10.1186/s12879-021-05966-3
Prevención del sarampión
Las personas que han tenido infección por sarampión de tipo salvaje se consideran con inmunidad de por vida (incluyendo adultos nacidos antes de 1957 debido a la presunta exposición al virus). Un lactante cuya madre tiene inmunidad contra el sarampión (p. ej., debido a enfermedad previa o vacunación) recibe anticuerpos maternos por vía transplacentaria; estos anticuerpos típicamente lo protegen durante los primeros 6 a 12 meses de vida.
En la mayoría de países con una infraestructura de atención médica sólida se administra rutinariamente a los niños una vacuna de virus vivos atenuados que contiene sarampión, paperas y rubéola (MMR, por sus siglas en inglés). En Estados Unidos, la vacuna MMR se recomienda para niños y se administra en 2 dosis: 1 a la edad de 12 a 15 meses y 1 a la edad de 4 a 6 años. La recepción de 2 dosis de la vacuna MMR se considera protectora contra el sarampión.
La vacuna MMR generalmente proporciona inmunidad duradera y la vacunación rutinaria en niños ha reducido la incidencia de sarampión en Estados Unidos en un 99% (1). Un metanálisis extenso de estudios de cohortes halló que la efectividad de la vacuna MMR para prevenir el sarampión en niños de entre 9 meses y 15 años era del 95% después de una dosis y del 96% después de dos dosis (2). A nivel mundial, de 2000 a 2023, se estima que se previnieron 60,3 millones de muertes debido al sarampión por vacunación; sin embargo, ninguna región había logrado y mantenido la eliminación del sarampión para fines de 2023 (3).
El esquema de la vacuna MMR de 2 dosis se introdujo en 1989; por lo tanto, los adultos nacidos de 1957 a 1989 pueden haber recibido una sola dosis. Para adultos en este grupo, se recomiendan 1 a 2 dosis adicionales en aquellos que no tienen evidencia de inmunidad y que se exponen a alto riesgo de exposición (p. ej., estudiantes en instituciones terciarias, trabajadores de la salud, viajeros internacionales, contactos de personas inmunocomprometidas, aquellos con infección por HIV) (4, 5, 6). Además, un pequeño número de adultos vacunados de 1963 a 1967 pueden haber recibido la vacuna contra el sarampión a virus inactivados (muertos), se consideran no vacunados y deben ser revacunados.
MMR es una vacuna a virus vivo y está contraindicada durante el embarazo. También está contraindicada en ciertos pacientes inmunocomprometidos y en pacientes que han tenido una reacción anafiláctica a un componente de la vacuna o a una dosis previa de la vacuna (7).
Véase Vacuna MMR para más información, incluyendo indicaciones, contraindicaciones y precauciones, dosificación y administración y efectos adversos.
Profilaxis posexposición
La prevención en contactos no inmunes que no están inmunocomprometidos es posible administrando la vacuna MMR dentro de los 3 días posteriores a la exposición.
Para pacientes susceptibles que no pueden ser vacunados (p. ej., con inmunocompromiso grave o embarazadas), se administra de inmediato inmunoglobulina humana que contiene anticuerpos contra el sarampión (dentro de los 6 días siguientes). Todos los pacientes expuestos con inmunodeficiencia grave deben recibir inmunoglobulina postexposición independientemente del estado de inmunización.
Los pacientes que recibieron inmunoglobulina IM deben recibir la vacuna MMR 6 meses después, y los pacientes que recibieron inmunoglobulina IV deben recibir la vacuna MMR 8 meses después, si tienen ≥ 12 meses de edad y son elegibles para la vacunación con la vacuna a virus vivos (5).
En un brote institucional (p. ej., escuelas), los contactos susceptibles que se niegan o no pueden recibir la vacuna y que además no reciben inmunoglobulina deben ser excluidos de la institución afectada hasta 21 días después del comienzo de la erupción en el último caso. Los trabajadores de la salud expuestos y susceptibles deben no trabajar después de la exposición, y la decisión sobre el regreso al trabajo debe basarse en las recomendaciones de salud pública e incluir la consideración del estado inmunitario de los trabajadores y el riesgo para otros en el entorno laboral.
Referencias de la prevención
1. McLean HQ, Fiebelkorn AP, Temte JL, Wallace GS; Centers for Disease Control and Prevention. Prevention of measles, rubella, congenital rubella syndrome, and mumps, 2013: Summary recommendations of the Advisory Committee on Immunization Practices (ACIP). [published correction appears in MMWR Recomm Rep. 2015 Mar 13;64(9):259]. MMWR Recomm Rep. 2013;62(RR-04):1–34.
2. Di Pietrantonj C, Rivetti A, Marchione P, et al. Vaccines for measles, mumps, rubella, and varicella in children. Cochrane Database Syst Rev. 2020;4(4):CD004407. doi:10.1002/14651858.CD004407.pub4
3. Minta AA, Ferrari M, Antoni S, et al. Progress Toward Measles Elimination - Worldwide, 2000-2023. MMWR Morb Mortal Wkly Rep. 2024;73(45):1036-1042. Published 2024 Nov 14. doi:10.15585/mmwr.mm7345a4
4. Centers for Disease Control and Prevention (CDC): Expanding Measles Outbreak in the United States and Guidance for the Upcoming Travel Season. Recommendations for Healthcare Professionals. Accessed May 14, 2025.
5. CDC: Yellow Book: Health Information for International Travel. Measles (Rubeola). 2026.
6. CDC: Measles Vaccine Recommendations. Accessed May 30, 2025.
7. National Center for Immunization and Respiratory Diseases. General recommendations on immunization --- recommendations of the Advisory Committee on Immunization Practices (ACIP) [published correction appears in MMWR Recomm Rep. 2011 Jul 29;60:993]. MMWR Recomm Rep. 2011;60(2):1-64.
Conceptos clave
La vacunación universal infantil contra el sarampión es segura y eficaz, y la vacuna MMR debe administrarse a menos que esté contraindicada (p. ej. por embarazo o por inmunodeficiencia grave).
La incidencia de sarampión es muy variable dependiendo de la tasa de vacunación en la población.
El sarampión es altamente transmisible, y se desarrolla en > 90% de los contactos susceptibles.
El sarampión causa anualmente cerca de 100.000 muertes en todo el mundo, sobre todo en niños, en particular en aquellos que residen en áreas con servicios médicos insuficientes.
El tratamiento es principalmente de sostén, pero los niños también deben recibir suplemento de vitamina A.
Administrar profilaxis posexposición a los contactos susceptibles; utilizar la vacuna dentro de los 3 días posteriores a menos que esté contraindicada, en cuyo caso se debe administrar inmunoglobulina dentro de los 6 días posteriores.



