Pneumothorax

ParNajib M Rahman, BMBCh MA (oxon) DPhil, University of Oxford
Reviewed ByRichard K. Albert, MD, Department of Medicine, University of Colorado Denver - Anschutz Medical
Vérifié/Révisé Modifié juill. 2025
v923137_fr
Voir l’éducation des patients

Le pneumothorax correspond à la présence d'air dans la cavité pleurale provoquant un collapsus pulmonaire partiel ou complet. Le pneumothorax peut être spontané ou résulter d'un traumatisme ou de procédures médicales. Le diagnostic repose sur des critères cliniques et la radiographie de thorax. Selon les symptômes et la gravité, le traitement peut être par intervention (aspiration transcathéter ou thoracostomie par tube), ou par observation et suivi attentif.

Étiologie du pneumothorax

Le pneumothorax spontané primitif est observé chez des patients qui n'ont pas de maladie pulmonaire sous-jacente, classiquement chez des hommes grands et minces dans leur adolescence et la vingtaine. Il est censé être dû à la rupture spontanée de bulles sous-pleurales apicales, qui résultent du tabagisme (marijuana ou tabac) ou sont congénitales. Il survient généralement au repos, bien que certains cas se produisent lors d'activités impliquant un étirement. Le pneumothorax spontané primitif peut également se produire lors de plongées et de vol à haute altitude.

Le pneumothorax spontané secondaire est observé chez des patients qui ont des maladies pulmonaires sous-jacentes. Le plus souvent, il résulte de la rupture d'une bulle chez des patients atteints de bronchopneumopathie chronique obstructive (BPCO) sévère (volume expiratoire maximal en 1 s [VEMS1] < 1 L), d'une infection par Pneumocystis jirovecii liée au VIH, d'une mucoviscidose, ou de toute autre maladie pulmonaire parenchymateuse sous-jacente (voir tableau Causes de pneumothorax spontané secondaire). Le pneumothorax spontané secondaire est plus grave que le pneumothorax spontané primaire parce qu'il se produit chez les patients dont la maladie pulmonaire sous-jacente diminue la réserve pulmonaire.

Le pneumothorax cataménial est une forme rare de pneumothorax spontané secondaire qui survient dans les 48 heures suivant le début des menstruations chez les femmes préménopausées et parfois chez les femmes ménopausées prenant un traitement à base d'œstrogènes. La cause en est une endométriose thoracique, probablement en raison de la migration de tissu endométrial péritonéal par un défaut diaphragmatique ou par embolisation par des veines pelviennes.

Tableau
Tableau

Le pneumothorax traumatique est une complication fréquente des blessures pénétrantes ou contondantes du thorax.

Le pneumothorax iatrogène est causé par des interventions médicales, dont la ponction transthoracique, la thoracentèse, la pose de cathéter veineux central, la ventilation mécanique, et la réanimation cardiorespiratoire.

Physiopathologie du pneumothorax

La pression intra-pleurale est normalement négative (inférieure à la pression atmosphérique) en raison de la force de rappel pulmonaire vers l'intérieur et vers l'extérieur de la paroi thoracique. Dans le pneumothorax, l'air pénètre dans la cavité pleurale à partir de l'extérieur du thorax ou à partir du poumon lui-même, par le biais des plans du tissu médiastinal ou par perforation pleurale directe. La pression intra-pleurale augmente, et le volume du poumon diminue.

Le pneumothorax compressif est un pneumothorax qui provoque une élévation progressive de la pression intra-pleurale à des niveaux qui deviennent positifs tout au long du cycle respiratoire ce qui provoque l'effondrement du poumon, le déplacement du médiastin, et le blocage du retour veineux vers le cœur. L'air continue à pénétrer dans l'espace pleural, mais ne peut pas en sortir. Sans traitement approprié, la diminution du retour veineux systémique peut entraîner une hypotension systémique, un arrêt respiratoire et cardiaque (activité électrique sans pouls) en quelques minutes. Le pneumothorax compressif est le plus souvent observé chez les patients ventilés en pression positive (avec ventilation mécanique en particulier lors des manœuvres de réanimation cardiorespiratoire). Rarement, il s'agit d'une complication d'un pneumothorax traumatique, quand une blessure thoracique agit comme un clapet anti-retour qui emprisonne des volumes d'air qui augmentent dans la cavité pleurale lors de l'inspiration.

Symptomatologie du pneumothorax

Les petits pneumothorax sont parfois asymptomatiques. Les symptômes de pneumothorax comprennent la dyspnée et la douleur thoracique. La dyspnée peut être de début soudain ou progressif en fonction de la vitesse de développement et de la taille du pneumothorax. La douleur peut simuler une péricardite, une pneumonie, une pleurésie, une embolie pulmonaire, une lésion musculo-squelettique (quand elle se projette à l'épaule), ou un processus intra-abdominal (quand elle se projette à l'abdomen). La douleur peut aussi simuler une ischémie cardiaque, bien que généralement la douleur de l'ischémie cardiaque ne soit pas pleurétique.

Les signes cliniques classiques sont une absence de frémissement palpable, une hypersonorité à la percussion et une diminution du murmure vésiculaire du côté atteint. Si le pneumothorax est important, le côté atteint peut être augmenté de volume avec la trachée visiblement ou à la palpation déviée vers le côté opposé, et les bruits respiratoires peuvent être absents du côté atteint. En cas de pneumothorax compressif, une hypotension et un arrêt cardiorespiratoire peuvent survenir.

Diagnostic du pneumothorax

  • Imagerie thoracique

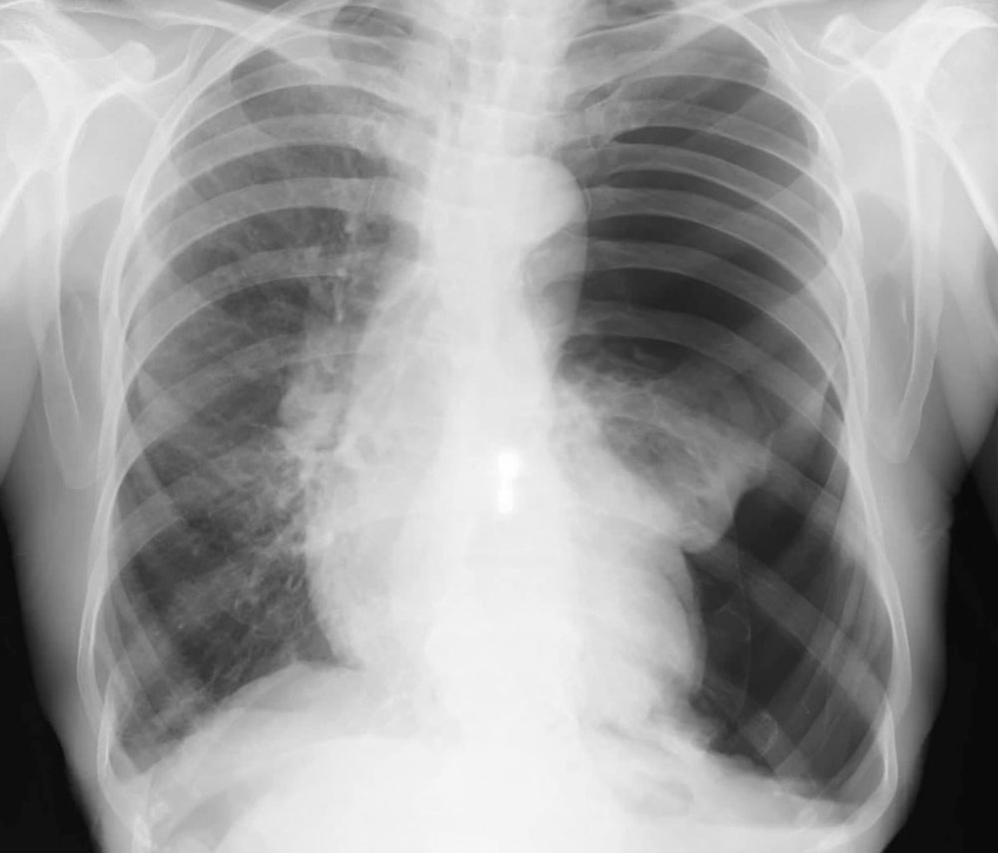
Le diagnostic est suspecté chez le patient dont l'état est stable mais qui a une dyspnée ou une douleur thoracique pleurale et est habituellement confirmé par une radiographie du thorax inspiratoire verticale. La densité du tissu pulmonaire est augmentée si des clichés expiratoires sont obtenus, augmentant ainsi la différence de contraste entre l'air dans l'espace pleural et le tissu pulmonaire adjacent (qui a moins d'air en raison d'une combinaison de l'état expiratoire et de tout collapsus). La présence d'air radiotransparent et l'absence des marques du poumon juxtaposées entre un lobe ou un poumon condensés et la plèvre pariétale sont diagnostiques du pneumothorax. Une déviation de la trachée et un refoulement médiastinal peuvent se produire en cas de grands pneumothorax. Le diagnostic peut également être fait par échographie au lit du malade si la maladie pulmonaire sous-jacente n'empêche pas une visualisation adéquate.

La taille du pneumothorax est définie par le pourcentage de l'hémithorax qui est vacant. Ce pourcentage est estimé en retranchant de 1 le rapport du cube de la largeur du poumon et de l'hémithorax. Par exemple, si la largeur de l'hémithorax est de 10 cm et la largeur du poumon est de 5 cm, le rapport est de 53/103= 0,125. Ainsi, la taille du pneumothorax est d'environ 1 moins 0,125, ou 87,5%. Si des adhérences sont présentes entre le poumon et la paroi thoracique, le poumon ne s'effondre pas symétriquement, et le pneumothorax peut apparaître atypique ou cloisonné, et le calcul n'est pas exact.

Les petits pneumothorax (p. ex., < 10%) sont parfois invisibles sur la radiographie thoracique. Chez les patients chez qui on suspecte un pneumothorax, les structures pulmonaires doivent être suivies jusqu'à la limite de la plèvre sur la radiographie du thorax. Même les pneumothorax importants peuvent ne pas être évidents sur les radiographies en décubitus dorsal, et le signe du sulcus (sillon) profond (un angle costophrénique anormalement profond) doit être spécifiquement recherché, car il peut être le seul signe de pneumothorax sur la radiographie chez un patient en décubitus dorsal. Les conditions qui imitent le pneumothorax sur la radiographie comprennent les bulles d'emphysème, les plis cutanés, les draps pliés, et le chevauchement des marques d'estomac ou d'intestin sur les champs pulmonaires.

La TDM permet également une excellente visualisation des pneumothorax et de la pathologie associée chez les patients en décubitus dorsal.

Pièges à éviter

  • Une hypotension soudaine chez un patient sous ventilation mécanique doit faire évoquer un pneumothorax compressif. Si le patient présente également une diminution du murmure vésiculaire et une hypersonorité à la percussion, un pneumothorax compressif doit être présumé et traité immédiatement, sans attendre la confirmation par la radiographie thoracique.

Traitement du pneumothorax

  • Décompression à l'aiguille immédiate en cas de pneumothorax sous tension

  • Observation et radiographie de suivi pour les pneumothorax asymptomatiques, primitifs spontanés, quelle que soit leur taille.

  • Aspiration par cathéter ou dispositifs de traitement ambulatoire pour les pneumothorax primitifs spontanés symptomatiques

  • Drainage pleural par cathéter de thoracostomie pour les pneumothorax traumatiques et secondaires

Le traitement dépend du type, de la taille, et des effets du pneumothorax.

Indépendamment de la taille du pneumothorax, le pneumothorax spontané primitif qui ne provoque pas de symptômes respiratoires ou cardiaques peut être surveillé en toute sécurité, sans traitement si les radiographies thoraciques de suivi effectuées à intervalles (d'abord à 4 heures, puis par la suite chaque semaine) jusqu'à résolution complète ne montrent aucune progression et si le patient est physiologiquement stable. Le suivi peut être ambulatoire. L'oxygénothérapie en cas de pneumothorax spontané primaire chez les patients qui ne sont pas hypoxémiques, bien qu'utilisée par certains, est fondée sur des preuves minimales et ne fait pas partie des recommandations actuelles (1, 2, 3).

Les pneumothorax primitifs symptomatiques spontanés doivent être évacués par aspiration par cathéter ou par des dispositifs de traitement ambulatoires (dispositif de drainage relié à une valve unidirectionnelle, permettant au patient de marcher, p. ex., valve de Heimlich). Le cathéter de thoracostomie en hospitalisation est une alternative.

L'aspiration par cathéter est réalisée par l'insertion d'un cathéter IV de petit diamètre (habituellement 7 à 9 French) ou en queue-de-cochon dans le thorax dans le deuxième espace intercostal sur la ligne médioclaviculaire. Le cathéter est fixé à un robinet 3 voies et à la seringue. L'air est retiré de la cavité pleurale à travers le robinet dans la seringue et expulsé dans la chambre. Le processus est répété jusqu'à ce que le poumon se redilate ou jusqu'à ce que 4 L d'air soient éliminés. Si le poumon se dilate, le cathéter peut être retiré ou maintenu en place et relié à un clapet anti-retour Heimlich (ce qui permet la marche), et le patient ne doit pas rester hospitalisé. Si le poumon ne se redéveloppe pas, un drain thoracique doit être inséré, et le patient doit être hospitalisé. Le pneumothorax primitif spontané peut également être traité initialement par un drain thoracique relié à un flacon avec ou sans aspiration. En cas de pneumothorax spontané primaire, le patient doit également subir une consultation de sevrage tabagique.

La thoracostomie utilisant un drain de petit diamètre (< 14 French) est généralement utilisée pour traiter les pneumothorax secondaires et traumatiques. Les patients qui ont des pneumothorax iatrogènes qui ont des symptômes sont mieux pris en charge initialement par une aspiration.

Le pneumothorax compressif est une urgence médicale et doit être diagnostiqué cliniquement; le temps ne doit pas être gaspillé à confirmer le diagnostic par une radiographie thoracique. Il doit être traité immédiatement par thoracostomie à l'aiguille, qui consiste à insérer une aiguille de calibre 14 ou 16 avec un cathéter, suffisamment longue pour traverser complètement la paroi thoracique, à travers la paroi thoracique dans le deuxième espace intercostal sur la ligne médioclaviculaire. Le bruit de l'air à haute pression qui s'échappe confirme le diagnostic. Le cathéter peut être laissé ouvert à l'air ou fixé à un clapet d'Heimlich. La décompression d'urgence doit être immédiatement suivie d'un drainage pleural par cathéter de thoracostomie, après quoi le cathéter est retiré.

Références pour le traitement

  1. 1. Cheng HS, Wong C, Chiu PH, Tong CW, Miu PF. Management of spontaneous pneumothorax: a mini-review on its latest evidence. J Thorac Dis 2024;16(7):4756-4763. doi:10.21037/jtd-24-415

  2. 2. Roberts ME, Rahman NM, Maskell NA, et al. British Thoracic Society Guideline for pleural disease. Thorax 2023;78(Suppl 3):s1-s42. doi:10.1136/thorax-2022-219784

  3. 3. Speck KE, Kulaylat AN, Baerg JE, et al. Evaluation and Management of Primary Spontaneous Pneumothorax in Adolescents and Young Adults: A Systematic Review From the APSA Outcomes & Evidence-Based Practice Committee. J Pediatr Surg 2023;58(10):1873-1885. doi:10.1016/j.jpedsurg.2023.03.018

Complications du pneumothorax

Les 3 principaux problèmes rencontrés lors du traitement du pneumothorax sont:

  • Les fuites d'air

  • La non réexpansion du poumon

  • Œdème pulmonaire de réexpansion du poumon

Les fuites d'air sont généralement dues au défaut primaire, c'est-à-dire, à la fuite d'air qui persiste des poumons vers l'espace pleural, mais elle peut aussi être due à une fuite d'air autour du site d'insertion du drain thoracique, s'il n'est pas correctement scellé et suturé. Les fuites d'air sont plus fréquentes dans les pneumothorax secondaires que dans les pneumothorax spontanés primitifs. La plupart régressent spontanément en < 1 semaine.

La non réexpansion du poumon est généralement due à l'une des raisons suivantes:

  • Fuite d'air persistante

  • Obstruction endobronchique

  • Trapped lung (poumon piégé)

  • Drain thoracique mal positionné

Une pleurodèse sanguine (patch sanguin), des valves endobronchiques, une thoracoscopie ou une thoracotomie doivent être envisagées si une fuite d'air persiste ou en cas de réexpansion incomplète persistant au-delà de 1 semaine.

L'œdème pulmonaire de réexpansion se produit lorsque le poumon se redéploie rapidement, comme c'est le cas lorsqu'un drain thoracique est mis en pression négative après que le poumon a été collabé pendant > 2 jours. Le traitement est un traitement de support, par oxygène, diurétiques et traitement cardio-pulmonaire, selon les besoins.

Prévention du pneumothorax

Les taux de récidive dans les grandes études variaient de 19 à 29% à 1 an après le pneumothorax spontané primitif initial (1, 2), mais sont plus élevés dans les cas des pneumothorax secondaires.

La meilleure méthode de prévention est la thoracoscopie et chirurgie thoracique vidéo-assistée dans laquelle les bulles sont agrafées et une pleurodèse est effectuée par abrasion pleurale, pleurectomie pariétale, ou insufflation de talc; dans certains centres, la thoracotomie est toujours occasionnellement utilisée.

Ces procédures sont recommandées dans le pneumothorax primitif après un second épisode et dans certains cas après un premier épisode (p. ex., pneumothorax compressif, profession à risque [p. ex., pilotes, plongeurs]), dans les pneumothorax secondaires ou lorsque le traitement initial ne résout pas le pneumothorax et que la fuite d'air continue. Le taux de récidive après ces procédures est réduit (3). Si la thoracoscopie ne peut être effectuée ou est contre-indiquée, une pleurodèse chimique par drain thoracique peut être effectuée; cette procédure réduit le taux de récidive, mais pas dans la même mesure que la chirurgie thoracoscopique vidéo-assistée (VATS), ce qui signifie donc que la VATS est la technique préférée lorsque cela est possible (4).

Références pour la prévention

  1. 1. Hallifax RJ, Goldacre R, Landray MJ, Rahman NM, Goldacre MJ. Trends in the Incidence and Recurrence of Inpatient-Treated Spontaneous Pneumothorax, 1968-2016. JAMA 2018;320(14):1471-1480. doi:10.1001/jama.2018.14299

  2. 2. Walker SP, Bibby AC, Halford P, Stadon L, White P, Maskell NA. Recurrence rates in primary spontaneous pneumothorax: a systematic review and meta-analysis. Eur Respir J 2018;52(3):1800864. Published 2018 Sep 6. doi:10.1183/13993003.00864-2018

  3. 3. Lin Z, Zhang Z, Wang Q, Li J, Peng W, Ge G. A systematic review and meta-analysis of video-assisted thoracoscopic surgery treating spontaneous pneumothorax. J Thorac Dis 2021;13(5):3093-3104. doi:10.21037/jtd-21-652

  4. 4. Elsayed HH, Hassaballa A, Ahmed T. Is video-assisted thoracoscopic surgery talc pleurodesis superior to talc pleurodesis via tube thoracostomy in patients with secondary spontaneous pneumothorax? Interact Cardiovasc Thorac Surg 2016;23(3):459-461. doi:10.1093/icvts/ivw154

Points clés

  • Le pneumothorax spontané primitif est observé chez des patients qui n'ont pas de maladie pulmonaire sous-jacente, classiquement chez des hommes grands et minces entre 10 et 30 ans.

  • Le pneumothorax secondaire spontané est observé chez des patients souffrant d'une maladie pulmonaire sous-jacente; il résulte le plus souvent de la rupture d'une bulle chez les patients qui ont une bronchopneumopathie chronique obstructive (BPCO) sévère.

  • Le diagnostic repose sur la radiographie du thorax en position debout ou sur l'échographie, à l'exception des pneumothorax compressifs, qui sont diagnostiqués cliniquement dès que suspectés.

  • Le pneumothorax spontané primitif qui ne provoque pas de symptômes respiratoires ou cardiaques peut être surveillé en toute sécurité, sans traitement si les radiographies de thorax de suivi effectuées environ 4 heures plus tard ne montrent aucune progression, et ce avec un suivi régulier au cours des semaines suivantes.

  • Les pneumothorax primitifs spontanés symptomatiques doivent être évacués par aspiration par cathéter, des dispositifs ambulatoires ou par drainage pleural par cathéter de thoracostomie.

  • Les pneumothorax traumatiques et secondaires sont généralement traités par drainage pleural par cathéter de thoracostomie.

  • La thoracoscopie et chirurgie thoracique vidéo-assistée et d'autres procédures peuvent permettre de prévenir les récidives des pneumothorax spontanés.

quizzes_lightbulb_red
TESTEZ VOS CONNAISSANCESTake a Quiz!
ANDROID iOS
ANDROID iOS
ANDROID iOS